Publicado: 30-04-2024

DOI: https://doi.org/10.14295/rp.v56iSuplemento 1.450

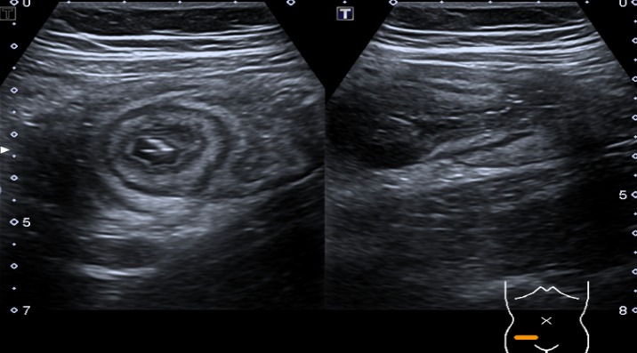
Intususcepción ileocólica en la adolescencia. Reporte de caso y revisión de la literatura

Diego Gutiérrez Gómez, Marco Antonio Bula Álvarez, Estephania Saenz

e458

DOI: https://doi.org/10.14295/rp.v56iSuplemento 1.458

Esclerosis tuberosa: diagnóstico prenatal, tratamiento y seguimiento de un año. Reporte de caso

Yolima Alfaro, Luis Fernando Molineros, Gabriel Del Castillo, Melissa Charria Caicedo, David Farah Borrero

e483

DOI: https://doi.org/10.14295/rp.v56iSuplemento 1.483

Enfermedad de graves en adolescente masculino, reporte de caso y revisión de la literatura.

Juan Sebastián Afanador Ardila, Julián Eduardo Jaimes Salazar, Nelson Muñoz Álvarez

e452

DOI: https://doi.org/10.14295/rp.v56iSuplemento 1.452

Terapia de reemplazo enzimático por 15 años en enfermedad de Pompe: reporte de caso

Sofia Atuesta Escobar, Julían Andrés Campo, María Paola Lubo López, José Restrepo, Luis Gustavo Celis Regalado

e463

DOI: https://doi.org/10.14295/rp.v56iSuplemento 1.463

Fractura por deformidad plástica de antebrazo en un niño de 6 años; reporte de un caso

Fractura por deformidad plástica de antebrazo en un niño

Bersayk Sayker Vásquez Cervera, Arkin Villacis Franco, Mariela de jesus Alfaro Castro, Irina Suley tirado Perez

e500

DOI: https://doi.org/10.14295/rp.v56iSuplemento 1.500

Liquen plano hipertrófico. A propósito de un caso

José Sequeda, Erick Álvarez, Cindy De la Cruz-Álvarez, Luis Carlos Racedo Segura

e454

DOI: https://doi.org/10.14295/rp.v56iSuplemento 1.454

Acondroplasia congénita a partir de una mirada multidimensional. Reporte de caso

Laura Beatriz Rojas Londoño, Alejandra Villa Bustamante

e470

DOI: https://doi.org/10.14295/rp.v56iSuplemento 1.470