Fractura por deformidad plástica de antebrazo en un niño de 6 años; reporte de un caso Fractura por deformidad plástica de antebrazo en un niño

Contenido principal del artículo

Bersayk Sayker Vásquez Cervera
Arkin Villacis Franco
Mariela de jesus Alfaro Castro
Irina Suley tirado Perez

Resumen

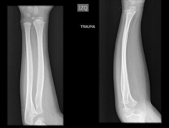
Introducción: Las deformidades plásticas son afecciones raras, que afectan principalmente a pacientes en edad pediátrica, quienes presentan microfracturas que resultan en deformación de la diáfisis del hueso afectado, sin ser macroscópicamente visibles. Caso clínico: Se presenta el caso de un paciente masculino de 6 años, quien presenta caída desde su propia altura mientras jugaba fútbol, con posterior fractura por plástica en la diáfisis del radio y cúbito izquierdo, por lo que se le realiza tracción contratación y reducción cerrada, con radiografía control qué evidencia alineación con adecuada reducción. Discusión: Las fracturas por deformidad plástica son infrecuentes, su diagnóstico podría pasar desapercibido teniendo en cuenta que la clinica no en todos los casos es evidente, el manejo debe realizarse de manera integral, con el fin de disminuir las complicaciones. Conclusión: Las fracturas por deformidad plástica en antebrazo son entidades raras y se presentan casi exclusivamente en pacientes pediátricos, se recalca la importancia de ser reconocidas por la población médica, para de esta forma brindar un tratamiento oportuno y adecuado a estos pacientes.

Descargas

Los datos de descargas todavía no están disponibles.

Detalles del artículo

Cómo citar
Vásquez Cervera, B. S., Villacis Franco, A., Alfaro Castro, M. de jesus, & tirado Perez, I. S. (2024). Fractura por deformidad plástica de antebrazo en un niño de 6 años; reporte de un caso : Fractura por deformidad plástica de antebrazo en un niño. Pediatría, 56(Suplemento 1), e500. https://doi.org/10.14295/rp.v56iSuplemento 1.500
Sección
Reporte de Caso

Referencias

Vervaecke AJ, Nuyts R, Sys J. The importance of adequate diagnosis of pediatric forearm bowing fractures: A case report. Trauma Case Reports. agosto de 2021;34:100508.

Tran DT, Vu NT, Nguyen QT, Duong TD, Hoang DG, Dinh SN, et al. Irreducible Traumatic Radial Head Dislocation Due to Annular Ligament Interposition in a Child with Ulnar Plastic Deformation: A Case Report. Orthopaedic Surgery. junio de 2021;13(4):1437-42.

Singh V, Dey S, Parikh SN. Missed Diagnosis and Acute Management of Radial Head Dislocation With Plastic Deformation of Ulna in Children. Journal of Pediatric Orthopaedics. abril de 2020;40(4):e293-9.

Mehrolhassani Y, Karbalaee Aghazadeh L, Oveisee M. Concurrent ulnar plastic deformity and ipsilateral humeral condylar fracture: A case report. International Journal of Surgery Case Reports. mayo de 2023;106:108294.

López FDS. Evaluación y tratamiento de las fracturas por deformidad del antebrazo en niños menores de 5 años. Reporte de un caso. ACTA ORTOPÉDICA MEXICANA.

Aponte JE, Ghiatas A. Acute plastic bowing deformity: A review of the literature. The Journal of Emergency Medicine. marzo de 1989;7(2):181-4.

Komara JS, Kottamasu L, Kottamasu SR. Acute plastic bowing fractures in children. Annals of Emergency Medicine. mayo de 1986;15(5):585-8.

Boutis K. Common Pediatric Fractures Treated With Minimal Intervention. Pediatric Emergency Care. 2010;26(2).

Artículos más leídos del mismo autor/a

Artículos similares

1 2 3 4 5 6 > >> 

También puede {advancedSearchLink} para este artículo.