Publicado: 16-07-2022

Comportamiento epidemiológico del intento de suicidio en niños y adolescentes, Colombia 2016-2020

Mónica Paola Quemba Mesa, Jhully Constanza Herrera Tarapues , Alejandra Mendoza Ortiz , Benigno Mendoza Ortiz

3-10

DOI: https://doi.org/10.14295/rp.v55i1.355
DOI: https://doi.org/10.14295/rp.v55i1.306
DOI: https://doi.org/10.14295/rp.v55i1.357

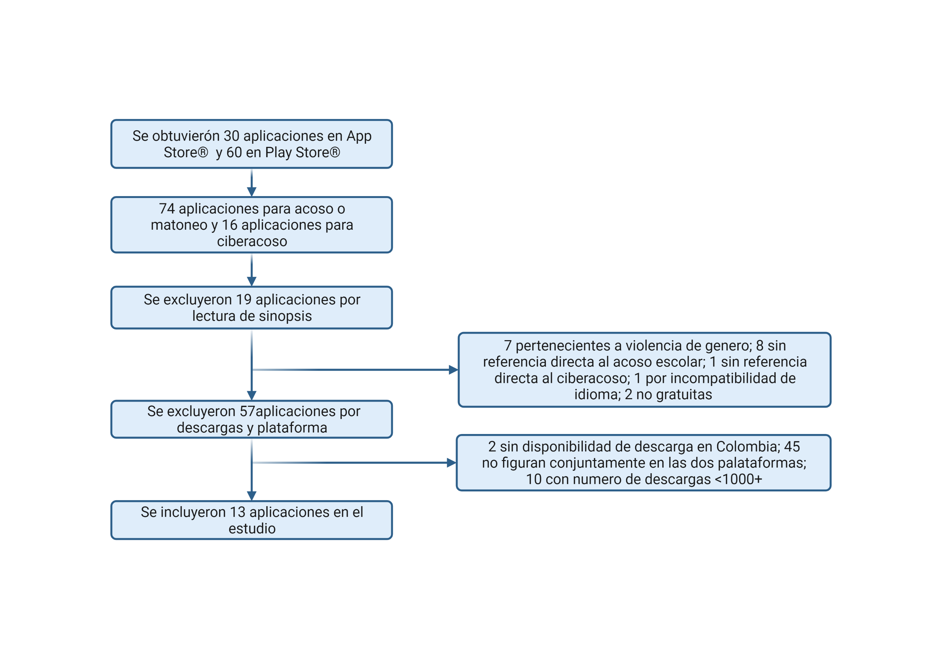
Descripción de las aplicaciones móviles relacionadas en la prevención, manejo y promoción de acoso y ciberacoso escolar en Colombia.

Fabio Rodríguez, Valentina Pérez, Daniela Olaya, Elsa Ibañez, Laura Hernández, Paula Cruz, Andrés Cruz, Sofía Ramírez, Maria del Mar Barragán, Camila Aragón, María Alejandra Vargas, Juan José Niño, Nicolás Guerrero, Sergio Rada

24-29

DOI: https://doi.org/10.14295/rp.v55i1.240

Características infrecuentes del síndrome de Miller-Fisher. Revisión de la literatura a propósito de un caso.

Ruth Camila Púa Torrejón, Amanda Bermejo Gómez, Ana Gómez-Carpintero García, Rebeca Villares Alonso

30-35

DOI: https://doi.org/10.14295/rp.v55i1.264
DOI: https://doi.org/10.14295/rp.v55i1.188

Cefalea en pediatría: tumor embrionario. Reporte de caso

Jose Miguel Suescun-Vargas, Jairo Alejandro Gaitán-Alfonso, Angélica Leonor Durán-Lara, Monica Paola Gutierrez Gaitan, Andrea Donoso-Samper, Javier Yesid Pinzon-Salamanca

40-45

DOI: https://doi.org/10.14295/rp.v55i1.297

Síndrome de sotos: una mirada al gigantismo cerebral. Reporte de caso.

Yulys Carolina Redondo Meza, Teresa Josefina Lopez Garcia, John Carlos Molina Toro, Gisel Gordillo Gonzalez

46-49

DOI: https://doi.org/10.14295/rp.v55i1.278