Edema pulmonar de las alturas en paciente pediátrico. Reporte de caso Reporte de caso
Contenido principal del artículo
Resumen
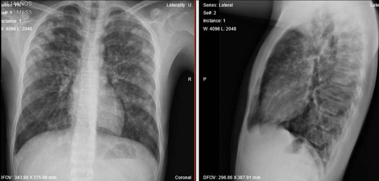
Antecedentes: El edema pulmonar de las alturas se caracteriza por la aparición de edema pulmonar en individuos sanos que se desplazan a lugares por encima de los 2 500 metros sobre el nivel del mar. Reporte de caso: se presenta un paciente de trece años que ingresa al servicio de urgencias por cuadro clínico consistente en la aparición súbita de dificultad respiratoria de asociado a un único episodio emético y dolor torácico. Se decidió tomar laboratorios paraclínicos y radiografía de tórax al ingreso donde se encontraron múltiples hallazgos relacionados con el mal de altura y edema pulmonar secundario. Se dio manejo diurético intravenoso y oxígeno suplementario a bajo flujo. Paciente quien presentó resolución de la enfermedad en dos días de tratamiento, evidenciados en control radiográfico y clínico. Conclusiones: Dada la noxa epidemiológica actual de Sars-Cov-2 y el patrón radiográfico que puede confundirse con tipos de neumonías atípicas, es importante reconocer no solamente imagenológicamente sino clínicamente este tipo de pacientes, la importancia de un manejo adecuado de control de líquidos administrados y eliminados y sus posibles complicaciones.
Descargas
Detalles del artículo

Esta obra está bajo una licencia internacional Creative Commons Atribución-NoComercial-SinDerivadas 4.0.
Licencia Creative Commons
Atribución-NoComercial-CompartirIgual 4.0 Internacional (CC BY-NC-SA 4.0)
Usted es libre de:
Compartir - copiar y redistribuir el material en cualquier medio o formato.
Adaptar - remezclar, transformar y construir a partir del material
La licencia no puede revocar estas libertades en tanto se sigan los términos de la licencia.
- Atribución — Usted debe dar crédito de manera adecuada, brindar un enlace a la licencia, e indicar si se han efectuado cambios. Puede hacerlo en cualquier forma razonable, pero no de forma tal que sugiera que usted o su uso tienen el apoyo del licenciante.
- NoComercial — Usted no puede hacer uso del material con propósitos comerciales.
- CompartirIgual— Si remezcla, transforma o crea a partir del material, debe distribuir su contribución bajo la misma licencia del original.
- No hay restricciones adicionales — No puede aplicar términos legales ni medidas tecnológicas que restrinjan legalmente a otras a hacer cualquier uso permitido por la licencia.
Citas
Bärtsch P, Maggiorini M, Mairbäurl H, Vock P, and Swenson E. Pulmonary extravascular fluid accumulation in climbers (Letter). Lancet. 2002;360(9332):571. DOI: https://doi.org/10.1016/S0140-6736(02)09723-4
García E, Contreras E , Zuluaga S. Edema pulmonar de las alturas: reporte de un caso clínico. Revista colombiana de neumología. 2006;18(4):154–156.
Guadalupe L , Sandoval M, Rocha J,Ovseyevitz J. Edema pulmonar de las alturas: una urgencia en pediatría. Anales médicos. 2016;61(1):58–62.
Ucrós S, Dueñas E, Llano G, Posada E, Triana G, Navas C. Edema pulmonar de alturas en la ciudad de Bogotá. Departamentos de pediatría y radiología Fundación Santa fe de Bogotá. Pediatría. 2002;37(1).
Riaño L, Figueredo R, Vásquez-hoyos P. Edema pulmonar de altura por re-ascenso en pacientes pediátricos. Andes pediatr. 2021;92(2):257-262. DOI: https://doi.org/10.32641/andespediatr.v92i2.2977
Romos E, Guevara Y, Idrovo R, Vele V. Edema pulmonar de altura. Reporte de un caso y revisión de la literatura. Rev. Finlay. 2018;8(1):80-84. DOI: https://doi.org/10.4067/s0717-75262018000100080
Shah N, Hussain S, Cooke M, O'Hara J, Mellor A. Wilderness medicine at high altitude: recent developments in the field. J sports med. 2015;6:319–328. DOI: https://doi.org/10.2147/OAJSM.S89856
Scott A Gallagher, Peter Hackett, Jonathan M Rosen, High altitude illness: Physiology, risk factors, and general prevention. UpToDate, Waltham, MA. (accedido el 30 de octubre de 2021). Disponible en: https://www.uptodate.com/contents/high-altitude-illness-physiology-risk-factors-and-general-prevention.
Hackett PH, Luks, AM, et al. High-altitude medicine and pathophysiology. In: Wilderness Medicine, 7th ed, Auerbach PS (Ed), Elsevier, Philadelphia 2016. p.8.
Swenson, E. R., & Bärtsch, P. High-altitude pulmonary edema. Comprehensive Physiology. 2012;2(4):2753–2773. DOI: https://doi.org/10.1002/cphy.c100029
Galager S. High-altitude pulmonary edema. 2021 (accedido el 2 noviembre 2021). Disponible en https://www.uptodate.com/contents/high-altitude-pulmonary-edema