Publicado: 28-06-2023

Diagnóstico citogenético de AF en una cohorte de pacientes con características clínicas de sospecha de anemia de Fanconi

Olga Moreno, Angela Paredes, Adriana Patricia Rojas Moreno, Iliana De los Reyes, Ernesto Rueda, Diego Medina, Jaime Bernal, Juan C. Prieto, Roser Pujol, Javier Benítez, Jordi Surrallés, Fernando Suárez-Obando

e410

DOI: https://doi.org/10.14295/rp.v56i2.410

Morbimortalidad de recién nacidos prematuros extremos en un centro de referencia de Medellín, Colombia durante el período 2014-2019

Martha Lucía, María Victoria Arango Rivera, Adriana Álvarez Moreno, Valentina Ruiz Giraldo, Isabella Velez Arango, Liliana Franco Hincapié

e368

DOI: https://doi.org/10.14295/rp.v56i2.368

Intento de suicidio pediátrico e ingreso a Unidad de Cuidado Intensivos, antes y después de la pandemia, en un hospital universitario en Boyacá, Colombia

Carlos M. Mojica Walteros, Laura K. Hoyos Gómez, Henry S. Vanegas Gama, Laura D Muñoz Torres, Daniel G. Fernández-Ávila

e388

DOI: https://doi.org/10.14295/rp.v56i2.388
DOI: https://doi.org/10.14295/rp.v56i2.456
DOI: https://doi.org/10.14295/rp.v56i2.230

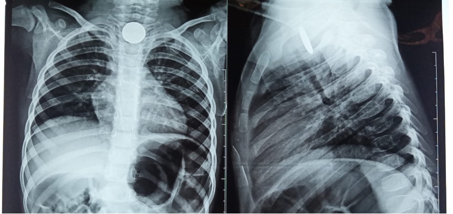
Fístula Traqueoesofágica por Ingesta de Pila de Botón ¿Manejo Conservador?

Arturo Emilio Guerra Rodríguez, Manuel Alfredo Medellín Vázquez, Jesús Eduardo Treviño Alvarado, Carlos Alberto Zapata Castilleja, José Guillermo Martínez Flores

e432

DOI: https://doi.org/10.14295/rp.v56i2.432

Diabetes neonatal: reporte de caso y revisión de tema

Carlos Andrés Sánchez Pinzón, Cindy Margarita Atencia Herrera, María Margarita Sánchez Tordecilla, María del Pilar Hoyos Zapata, Mary Juliana Zapata Gelvez, Juan David Vega Padilla

e430

DOI: https://doi.org/10.14295/rp.v56i2.430

Síndrome de Goldenhar, un abanico de posibilidades clínicas

Gloria Valentina Mosquera Sepulveda, Mario Nicolas Ayala Lozano, Carlos Orlando Amaya Jinete. , Lorena García Agudelo., José Luis Cruz Urrego, Julio César Velasco Castro.

e424

DOI: https://doi.org/10.14295/rp.v56i2.424