Navegación principal
Contenido principal
Barra lateral
Registrarse
Entrar
Toggle navigation
Actual
Archivos
Avisos
Acerca de
Sobre la revista
Envíos
Equipo editorial
Manual de estilo
Licencia
Contacto
Buscar
Inicio
Archivos
Vol. 55 Núm. Suplemento 1 (2022): Suplemento 1. Reportes de casos
Publicado:
16-03-2022
Editorial
A propósito de un caso
Fernando Suárez-Obando
1-2
PDF
Reporte de Caso
Angina de Ludwig: reporte de caso en un adolescente
Angie Carolina Morales Suarez, Alicia Juliana Londoño Alzate, Mario Alejandro Rairan-Penagos, Airon Jhoan Pulgarín-Cardona, Juan Pablo Calle-Giraldo
3-6
PDF
DOI:
https://doi.org/10.14295/rp.v55iSuplemento1.181
Hepatitis colestásica persistente por virus de hepatitis A en pediatría. Reporte de Caso.
Franklin Iván Velasco Martínez, Libardo Johanny Sandoval Suárez, Eric Mauricio Ehrhardt Morón, Victor Manuel Mora Bautista
7-10
PDF
DOI:
https://doi.org/10.14295/rp.v55iSuplemento1.189
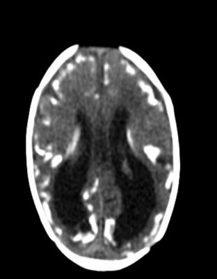
Encefalitis herpética en paciente con infección por SARS-CoV-2: Reporte de un caso
Monica Liseth Holguin Barrera, Lorena García Agudelo, Ledmar Jovanny Vargas Rodríguez, Natalia Fuentes Rodríguez
11-14
PDF
DOI:
https://doi.org/10.14295/rp.v55iSuplemento1.371
Toxoplasmosis neonatal, una infección prevenible. Reporte de caso
Jeinny Ruiz Muñoz, Lyanne Mesa Huerfano, Diana Silva Muñoz, Lorena Garcia Agudelo, Ledmar Vargas Rodriguez
15-19
PDF
DOI:
https://doi.org/10.14295/rp.v55iSuplemento1.415
Staphylococcus lugdunensis, un germen inusual a tener en cuenta. Reporte de caso.
Raquel Berzosa López, Laura Francisco González
20-22
PDF
DOI:
https://doi.org/10.14295/rp.v55iSuplemento1.420
A propósito de un caso: Tumor de Pott en Pediatría
Koretta Esmeral Atehortúa, Olga Thomen Ojeda, Melany Covilla Varela , Fhara Nader Salgado , Cristina Muñoz Orozco, Camilo Zuñiga Latorre, Ayda Cespedes Eslait
23-27
PDF
DOI:
https://doi.org/10.14295/rp.v55iSuplemento1.411
Abordaje transperitoneal laparoscópico: elección en la corrección de estenosis pieloureteral en el riñón en herradura pediátrico
Nicolás Rosales Parra, Juliana Lucia Molina Valencia, Marcela Cadavid Navas, Walter David Romero Espitia
28-31
PDF
DOI:
https://doi.org/10.14295/rp.v55iSuplemento1.414
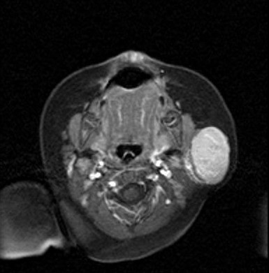
Hemangioma infantil en la glándula parótida. Aportación de dos nuevos casos
Cristina Muñoz López, Julia Pareja Grande, Eva Sauces Martínez, Laura Acero García de la Santa, Miguel Ángel García Cabezas, Fernando Dotor García Soto
32-35
PDF
DOI:
https://doi.org/10.14295/rp.v55iSuplemento1.405