Pediatría
ISSN impreso: 0120-4912
e-ISSN: 2444-9369
DOI: 10.14295/rp.v57i3.488
Reporte de caso
Piomiositis Multifocal En Asociación A Subluxación De Cadera En Paciente Pediátrico: reporte de caso
Multifocal pyomyositis associated with hip subluxation in a pediatric patient: a case Report
María Camila Péreza,b, Maira Alejandra Jiméneza, Johan Sebastián Ramosa, Angie Carolina Perezc, Luis Antonio Galvisa,b
a. Departamento de Medicina, Facultad de Salud, Universidad de Pamplona, Cúcuta, Colombia.
b. Hospital Universitario Erasmo Meoz, Cúcuta, Colombia.
c. Biomedical Sciences program, Grand Valley State University, Michigan, United States.
Fecha de recepción: 25 de agosto de 2023
Fecha de aceptación: 19 de julio de 2024
Cómo citar: Pérez MC, Jiménez MA, Ramos JS, Pérez AC, Galvis LA. Piomiositis Multifocal En Asociación A Subluxación De Cadera En Paciente Pediátrico: reporte de caso. Pediatr. 2024;57(3):e488.
Autor de correspondencia: María Camila Pérez Vanegas. Correo: Mariacamilaperez98@gmail.com
Editor de sección: Samuel D. Barbosa Ardila
Resumen
Antecedentes: La piomiositis es una infección aguda del músculo estriado, afecta principalmente a niños escolares y con mayor frecuencia a aquellos que residen en países tropicales. El patógeno principalmente aislado es el Staphylococcus aureus meticilino resistente (SAMR). Su diagnóstico representa un reto, dada la inespecificidad de su clínica que simula distintas patologías. Los hallazgos imagenológicos en conjunto con el aislamiento microbiológico son esenciales en el diagnóstico. Reporte de caso: A continuación, se presenta el caso de un niño de 3 años de edad con diagnóstico de subluxación de cadera en relación a una piomiositis multifocal de los músculos iliopsoas, glúteo medio, obturador externo, obturador interno y pectíneo. Se empleo un manejo conservador basado en la antibioticoterapia como pilar fundamental. Alcanzando una completa resolución del cuadro tanto clínico como imagenológico evidenciado en la RM de seguimiento. Conclusión: La piomiositis es una infección común en los países del trópico, en muchos casos el cuadro clínico es inespecífico siendo una gran simuladora de otras patologías, por lo cual es frecuentemente subdiagnosticada. Los hemocultivos presentan un bajo rendimiento en la mayoría de los casos, a diferencia de los cultivos tomados directamente del absceso. Siendo fundamental la sospecha diagnostica para emplear de manera oportuna el correcto cubrimiento antibiótico.
Palabras clave: Piomiositis, Staphylococcus aureus resistente a meticilina-SARM, músculos obturadores, Abscesos, IRM.
Abstract
Background: Pyomyositis is an acute infection of skeletal muscle, primarily affecting school-aged children, especially those residing in tropical countries. The most isolated pathogen is the methicillin-resistant Staphylococcus aureus (MRSA). Its diagnosis presents a challenge due to the nonspecific clinical presentation that mimics various pathologies. Imaging findings, combined with microbiological isolation, are essential for diagnosis. Case report: Here, we present the case of a 3-year-old child with a diagnosis of hip subluxation related to multifocal pyomyositis of the iliopsoas, gluteus medius, external obturator, internal obturator, and pectineus muscles. Conservative management based on antibiotic therapy was employed as the cornerstone of treatment, resulting in complete resolution of both the clinical and imaging manifestations as demonstrated in the follow-up MRI. Conclusion: Pyomyositis is a common infection in tropical countries, in many cases the clinical picture is non-specific, being a great simulator of other pathologies, which is why it is frequently underdiagnosed. Blood cultures present a low yield in most cases, unlike cultures taken directly from the abscess. Diagnostic suspicion is essential to use the correct antibiotic coverage in a timely manner.
Keywords: Pyomyositis, Methicillin-Resistant Staphylococcus aureus, MRSA, obturator muscles, Abscess, MRI.
Introducción
La piomiositis es una infección bacteriana aguda que afecta principalmente al músculo esquelético, asociada a la formación de abscesos (1). Su primer reporte data del año 1.885 siendo principalmente diagnosticada en países del trópico, por lo que anteriormente se denominaba piomiositis tropical, llegando a representar entre el 1-4 % de todas las admisiones hospitalarias (2,3). La etiología más frecuente es el Staphylococcus aureus, observándose un aumento en el aislamiento de S. Aureus meticilino resistente (SAMR) en los últimos años (1,2,3). Esta enfermedad se caracteriza por presentar tres fases (invasiva, supurativa y séptica) (4,6). Los signos y síntomas están relacionados con la fase en la cual se encuentre la enfermedad (4,5). Para el diagnóstico es esencial el cuadro clínico, la visualización de abscesos mediante las pruebas de imágenes y el aislamiento microbiológico. Con respecto al tratamiento este se basa en antibioticoterapia y drenaje de los abscesos (1,4,6).
Reporte de Caso clínico
Paciente masculino de 3 años, sin antecedentes patológicos de importancia, que presenta dolor en miembro inferior derecho de 6 días de evolución concomitantemente con dolor abdominal, lesiones elevadas generalizadas en miembros superiores asociadas a prurito intenso y fiebre, que se intensifican en los últimos 3 días, razón por la cual acude al servicio de urgencias. Al examen físico el paciente se encontraba estable hemodinámicamente, fiebre cuantificada de 39ºC, dolor en región proximal del muslo derecho con posición antálgica y limitación de la marcha, pápulas generalizadas con escoriaciones en miembros superiores, abdomen distendido con dolor a la palpación, signo de Blumberg positivo y canal inguinal derecho edematizado. En la analítica de ingreso destacaba leve leucocitosis (11.280/mm3) con neutrofilia (82 %), anemia microcítica (Hb 9.8 gr/dL y VCM 78 fL) y reactantes de fase aguda muy elevados (PCR 441. 88 mg/L y Procalcitonina 48 ng/ml). Al ser valorado por cirugía pediátrica se decide realizar una ecografía abdominal por sospecha diagnóstica de apendicitis aguda; en esta se observa proceso inflamatorio inespecífico de la fosa iliaca derecha, debido a esto se realiza una laparoscopia exploratoria donde se encuentra gran proceso inflamatorio que compromete región inguinal, región del psoas, apéndice cecal y ciego con plastrón inflamatorio. Se realizó adicionalmente drenaje de colección en región iliopsoas transperitoneal. En el abordaje quirúrgico se obtuvo muestra de líquido peritoneal para cultivo que no aisló ningún patógeno. En el reporte de los hemocultivos de ingreso se aisló S. Aureus meticilino resistente (SAMR), razón por la cual se inicia manejo con vancomicina.
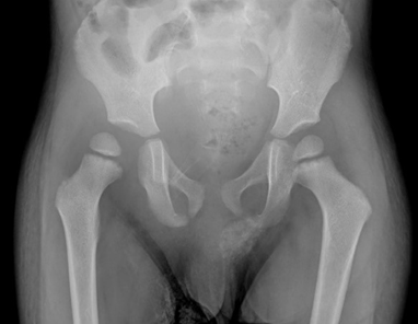
En su cuarto día de postoperatorio el paciente vuelve a cursar con distensión abdominal y dolor intenso irradiado a cadera y miembro inferior derecho con edema, hipertermia localizada y con limitación para la extensión, rotación y abducción; por lo cual se realiza una ecografía articular de cadera derecha y una ecografía abdominal sin reporte de hallazgos patológicos. Adicionalmente se realiza una radiografía de cadera donde se observa subluxación coxofemoral derecha (fig.1).

Figura 1. Radiografía AP de pelvis que demuestra aumento de volumen de partes blandas y subluxación coxofemoral derecha
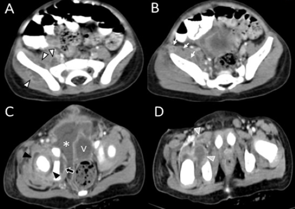
El servicio de ortopedia decide manejo quirúrgico por sospecha de artritis séptica mediante artrotomía evacuadora con reducción abierta de luxación de cadera. El cultivo de líquido serohemático extraído de la cápsula articular no reportó crecimiento. Como exámenes de control se le realizó al paciente una TC de abdomen simple y contrastado donde se evidencia la presencia de múltiples lesiones con contenido líquido en su interior y realce periférico al medio de contraste en varias regiones musculares como iliopsoas, glúteo medio, obturador externo, obturador interno y pectíneo. Adicionalmente se observa gran colección intrapélvica que desplaza lateralmente la vejiga y la presencia de líquido periarticular en cadera derecha, hallazgos radiológicos consistentes con piomiositis multifocal con afectación de cadera derecha (fig. 2). Al ser valorado por cirugía pediátrica en conjunto con ortopedia deciden optar por un manejo conservador por ambas partes y continúan tratamiento antibiótico. Obteniéndose completa resolución de los abscesos como se evidencia en la resonancia magnética realizada días después, sin embargo, persiste subluxación de cadera derecha, derrame articular, edema del musculo glúteo mayor y edema óseo en articulación sacroilíaca derecha consistente sacroileitis de origen infeccioso (fig.3)

Figura 2. Tomografía de abdomen y pelvis con contraste en cortes axiales que demuestra (A) Absceso de músculo psoas, ilíaco y de glúteo medio (puntas de flecha blanca). (B) Aumento de volumen y múltiples abscesos del músculo iliopsoas (flechas blancas). (C) Absceso en músculo obturador interno (flecha negra), colección intrapélvica (asterisco blanco) que desplaza la vejiga lateralmente (V) y líquido periarticular en cadera derecha (puntas de flecha negra). (D) Abscesos en músculos obturador externo y pectíneo (puntas de flecha gris)

Figura 3. Resonancia magnética en secuencia Stir y plano coronal (A y B) que revela persistencia de la subluxación de cadera (asterisco), presencia de derrame articular (flecha negra), edema óseo en articulación sacroilíaca derecha (flecha blanca) y edema del musculo glúteo mayor (cabeza de flecha blanca).
Discusión
La piomiositis es una infección bacteriana aguda que afecta principalmente al músculo esqueletico (2,3). Se puede clasificar en primaria cuando se disemina de forma hematógena producto de una bacteriemia y secundaria cuando se disemina por contigüidad debido a un foco infeccioso como osteomielitis, enfermedad pélvica, enfermedad intestinal e inclusive apendicitis aguda (2).
Existe mayor prevalencia en países del trópico, representando del 1-4 % de todas las admisiones hospitalarias (4,7,8). Sin embargo, esta entidad también puede afectar en menor proporción a personas de regiones no tropicales (3,8). A diferencia de lo que ocurre en las regiones tropicales donde no se ha asociado la presencia de enfermedades de base; en los países con clima templado se han descrito en más de la mitad de los casos una condición subyacente que favorece el desarrollo de esta patología, principalmente aquellas relacionadas con algún grado de inmunosupresión (5,8).
El agente etiológico aislado con mayor frecuencia es el S. Aureus en un 90 % de los casos (4,3). En los últimos años se ha observado un aumento en el aislamiento de S. Aureus meticilino resistente (SAMR) reportándose una incidencia de 9 por cada 10 pacientes diagnosticados con piomiositis (4,8). Esta entidad puede afectar a cualquier grupo etario, siendo más frecuentemente observada en niños y adolescentes (4). Esta enfermedad se caracteriza por presentar tres fases: Primera fase invasiva, segunda supurativa y una última de septicemia (7,8). Los signos y síntomas están relacionados con la fase en la cual se encuentre la enfermedad, la etapa invasiva se caracteriza por inflamación, dolor del músculo afectado y en algunos casos una leve leucocitosis (4,5). Puede encontrarse un músculo indurado no fluctuante, absceso palpable o un eritema acompañante, durante esta fase de la enfermedad solamente se logran detectar el 2 % de los casos (4,7). En la fase supurativa los pacientes presentan dolor severo asociado a la formación del absceso muscular, aumento de la inflamación y fiebre, durante esta etapa es donde se diagnostica la mayoría de los casos (4). La tercera etapa se caracteriza por toxicidad sistémica, formación de abscesos multifocales y shock (4). El porcentaje de casos que tienen una presentación multifocal es variable en la literatura, reportándose tasas entre 15 a 60 % (4,5,8). Los músculos con mayor afectación son principalmente iliopsoas, glúteos, obturadores, paraespinales y cuádriceps (2-5,7-9). Por esta razón se pueden presentar clínica inespecífica que va desde dolor abdominal, articular, inguinal, lumbar, lumbociática, marcha antiálgica hasta una rotación externa o interna de la cadera. En muchos de los casos la asociación de fiebre y dolor dependiendo del área donde se refiera puede confundirse fácilmente con causas de abdomen agudo o una artritis séptica (2,5,9).
Con respecto a los estudios secundarios, podemos encontrar en el hemograma una leucocitosis con neutrofilia y reactantes de fase aguda elevados (4,5,9). Los hemocultivos sólo son positivos en un 35 % de los casos, a diferencia de los cultivos tomados directamente del absceso, que tienden a ser positivos hasta en un 67 % (4,5,8,9). Con respecto a las imágenes diagnósticas, la resonancia magnética es el estándar de oro, siendo más especifica que la tomografía computada (4,5,8,9). Sin embargo, esta última es una herramienta útil cuando no es posible realizar la resonancia, ya sea por condiciones de accesibilidad a esta o por condiciones del paciente, puesto que en muchos casos se requiere de sedación en la población pediátrica (4,5,8,9). La tomografía computada es un método más accesible y rápido que se puede realizar sin la necesidad de sedación, esta permite localizar el sitio del absceso, su extensión y el compromiso de otros grupos musculares como es el caso de la piomiositis multifocal (8). El ultrasonido puede considerarse como método de primera línea en el abordaje de estos pacientes (8). Sin embargo, su sensibilidad varía dependiendo del músculo afectado, detectando solo el 60 % de las piomiositis que afectan la región del iliopsoas (4,5,7). Dentro de las complicaciones asociadas a la piomiositis están la artritis séptica, osteomielitis, sepsis, abscesos múltiples, trombosis venosa, neumonía, rabdomiólisis, endocarditis, falla renal aguda e inclusive la subluxación de cadera, siendo nuestro caso uno de los pocos reportados con esta complicación (4-6,9-12). La artritis de cadera es la principal complicación asociada a la piomiositis del iliopsoas y obturadores, esta debe sospecharse siempre que exista flexión y abducción involuntaria de la cadera, acompañada de dolor en cualquier rango de movimiento o si se evidencia derrame articular de cadera en el ultrasonido o la resonancia magnética (9). En estos casos el rendimiento del cultivo sólo es positivo en un 30 % de los pacientes complicados con artritis séptica de cadera (9). El tratamiento se basa principalmente en el inicio de antibióticos de amplio espectro con cubrimiento a los patógenos frecuentemente presentados, se recomienda el uso empírico de vancomicina como primera línea ante el aumento de casos de SAMR, en la etapa invasiva los antibióticos representan la única línea de manejo (1,4,6). Ante la presencia de una piomiositis en etapa supurativa o de septicemia se recomienda el manejo de antibióticos en conjunto con el drenaje de los abscesos tan pronto sea posible (1,6) Algunos autores recomiendan el drenaje percutáneo guiado por ultrasonido o tomografía por encima de la técnica de cirugía abierta al ser menos invasiva, no obstante, esto dependerá del tamaño del absceso y la localización del mismo (1,6).
En nuestro caso la sospecha diagnóstica de piomiositis inició con el aislamiento de SARM en los hemocultivos, esto asociado al cuadro clínico días previos al ingreso del paciente, caracterizado por dolor inguinal, marcha antálgica, fiebre y dolor abdominal de aparición tardía. Es importante destacar la presencia de pápulas pruriginosas con escoriaciones observadas en miembros superiores del paciente, lo cual podría explicar la posible puerta de entrada de la bacteriemia. Sin embargo, y como se reporta en la mayoría de casos descritos en la literatura debido a la inespecificidad del cuadro clínico inicial, más la ausencia de hallazgo concluyentes en el ultrasonido llevó a la confusión diagnóstica con apendicitis aguda. La realización de tomografía computada fue la herramienta esencial para el diagnóstico de piomiositis, evidenciándose la presencia de múltiples abscesos en varios grupos musculares, lo cual podría estar en relación con la fase de septicemia de la enfermedad.
La presencia de la subluxación de cadera es un hallazgo raramente descrito en la literatura, el cual podemos asociar a los abscesos ubicados en los músculos involucrados con el movimiento de la cadera y a su vez a la presencia de artritis séptica de cadera derecha.
Conclusión
La piomiositis es una patología que afecta principalmente a personas que habitan países con clima tropical, siendo la población pediátrica la mayormente afectada. En muchos casos el cuadro clínico es inespecífico por lo cual es frecuentemente subdiagnosticada, lo que conlleva a un tratamiento inadecuado. Los hemocultivos presentan un bajo rendimiento en la mayoría de los casos, a diferencia de los cultivos tomados directamente del absceso. Sin embargo, esta asociación podría estar invertida como el caso anteriormente expuesto. La TC es una herramienta útil cuando no se tiene acceso a la RM. Ante la sospecha de piomiositis es importante el correcto cubrimiento antibiótico del SAMR.
Contribuciones de los autores: Todos los autores contribuyeron por igual a la concepción y redacción del manuscrito.
Conflicto de intereses
Los autores declaran que no existe conflictos de intereses.
Financiación
La elaboración de este reporte no obtuvo financiación de ninguna fuente.
Referencias
1. Agarwal V, Chauhan S, Gupta RK. Pyomyositis. Neuroimaging Clin N Am. 2011;21(4):975-x. doi: https://doi.org/10.1016/j.nic.2011.07.011.
2. Waseem M, Kumari D, Toledano T. Fever and Hip Pain: Not Always Due to a Septic Hip. Pediatr Emerg Care. 2018;34(12):e236-e238. doi: https://doi.org/10.1097/PEC.0000000000000985.
3. Hassan FO, Shannak A. Primary pyomyositis of the paraspinal muscles: a case report and literature review. Eur Spine J. 2008;17 Suppl 2(Suppl 2):S239-S242. doi: https://doi.org/10.1007/s00586-007-0507-7.
4. Verma S. Pyomyositis in Children. Curr Infect Dis Rep. 2016;18(4):12. doi: https://doi.org/10.1007/s11908-016-0520-2.
5. García-Mata S, Hidalgo-Ovejero A, Esparza-Estaun J. Primary obturator-muscle pyomyositis in immunocompetent children. J Child Orthop. 2012;6(3):205-215. doi: https://doi.org/10.1007/s11832-012-0418-y.
6. Habeych ME, Trinh T, Crum-Cianflone NF. Purulent infectious myositis (formerly tropical pyomyositis). J Neurol Sci. 2020;413:116767. doi: https://doi.org/10.1016/j.jns.2020.116767.
7. Pérez CA, Rodríguez Y, Moreno S Avilés MJ . . Absceso de músculo iliopsoas y piomiositis extensa en un adolescente inmunocompetente. Revista de Enfermedades Infecciosas en Pediatría. 2013, 26. 270-273.
8. Pannaraj PS, Hulten KG, Gonzalez BE, Mason EO Jr, Kaplan SL. Infective pyomyositis and myositis in children in the era of community-acquired, methicillin-resistant Staphylococcus aureus infection. Clin Infect Dis. 2006;43(8):953-960. doi: https://doi.org/10.1086/507637.
9. Mignemi ME, Menge TJ, Cole HA, et al. Epidemiology, diagnosis, and treatment of pericapsular pyomyositis of the hip in children. J Pediatr Orthop. 2014;34(3):316-325. doi: https://doi.org/10.1097/BPO.0000000000000106.
10. Gamble JG. Primary Psoas Pyomyositis Presenting as Subluxation of the Hip: A Case Report. JBJS Case Connect. 2016;6(1):e21. doi: https://doi.org/10.2106/JBJS.CC.O.00144.
11.Ropero-Luis G, López-Núñez M, Hidalgo-López C. Multifocal Abdominal Pyomyositis From Subcutaneous Dissemination in an Immunocompetent Patient. Cureus. 2022;14(4): e23766. doi: https://doi.org/10.7759/cureus.23766.
12. Abbati, G.; Abu Rumeileh, S.; Perrone, A.; Galli, L.; Resti, M.; Trapani, S. Pelvic Pyomyositis in Childhood: Clinical and Radiological Findings in a Tertiary Pediatric Center. Children 2022, 9, 685.
https://doi.org/10.3390/children9050685.
13. Barchi, L., Fastiggi, M., Bassoli, I. et al. Pyomyositis associated with abscess formation caused by streptococcus pneumoniae in children: a case report and review of literature. Ital J Pediatr 49, 73 (2023). https://doi.org/10.1186/s13052-023-01472-1
14. Omer Nasiroglu, Sebastian Camargo, Mubin Khan. Pyomyositis resulting in abscess in an infant and in osteomyelitis in a healthy teenager without fever case reports and literature review, Journal of Pediatric Surgery Case Reports, Volume 65, 2021, 101712, ISSN 2213-5766.
https://doi.org/10.1016/j.epsc.2020.101712.
![]()