Pediatría
ISSN impreso: 0120-4912
e-ISSN: 2444-9369
DOI: 10.14295/rp.v57i3.471
Reporte de caso
Tuberculosis en pediatría: reporte de caso
Tuberculosis in pediatrics: case report
Alejandra Villa Ba, Laura Beatriz Rojas Londoñob, Nicolás Garzón M.c
a. Médico General Universidad del Quindío. Epidemióloga Universidad Autónoma de Bucaramanga, Médico Residente Pediatría Universidad del Quindío, Hospital Departamental Universitario del Quindío, San Juan de Dios de Armenia, Colombia
b Médico General de la corporación universitaria empresarial Alexander Von Humboldt. Médica del servicio de pediatría, Hospital Departamental Universitario del Quindío, San Juan de Dios de Armenia, Colombia
c. Estudiante de internado Hospital Departamental Universitario del Quindío, San Juan de Dios de Armenia, Armenia, Colombia. Programa de Medicina Fundación Universitaria Juan N. Corpas, Bogotá, Colombia
Fecha de recepción: 26 de junio de 2023
Fecha de aceptación: 03 de mayo de 2024
Cómo citar: Villa B A, Rojas Londoño LB, Garzón M N. Tuberculosis en pediatría: reporte de caso. Pediatr. 2024;57(3):e471.
Autor de correspondencia: Alejandra Villa B. Correo electrónico: avillab@uqvirtual.edu.co
Editor de sección: Samuel D. Barbosa Ardila
Resumen
Introducción: La tuberculosis es una enfermedad crónica de tipo infeccioso, causada por Mycobacterium tuberculosis, microorganismo con alta patogenia, aerobio, no encapsulado, que tiene mayor prevalencia en países en vía de desarrollo. Por lo tanto, se considera de importancia en salud pública. Su alta patogenicidad y virulencia en paciente pediátricos obliga a tomar acción rápida ante la sospecha diagnóstica con un enfoque terapéutico adecuado. No se puede dejar de lado la desigualdad socioeconómica que representa esta patología, así que la promoción y prevención en salud juegan un papel fundamental para reducir la prevalencia de esta y muchas patologías infecciosas prevenibles. Reporte de caso: Se presenta un caso clínico de Tuberculosis en pediatría, atendido en el Hospital departamental Universitario del Quindío San Juan de Dios, se trata de una paciente femenina de 14 años y 6 meses de edad, de nacionalidad colombiana, sin antecedentes patológicos ni familiares de importancia, con adecuada red de apoyo familiar. Ingresa a la institución por un cuadro de 2 semanas de evolución de síntomas respiratorios altos (tos seca intermitente) con posterior evolución a hematemesis franca, con pérdidas sanguíneas importante las cuales llevan a estado de shock, inestabilidad hemodinámica que requirió soporte hídrico y transfusión de hemoderivados. Al ingreso al servicio de urgencias se solicitan paraclínicos de control para esclarecer causa de dicha sintomatología, los cuales reportan presencia de anemia, leucocitosis, acidosis metabólica. Una radiografía de tórax que evidencia presencia de infiltrados intersticiales difusos sin presencia de consolidación, endoscopia de vías digestivas altas dentro de parámetros de normalidad, baciloscopias seriadas negativas.
Debido a la condición clínica de la paciente, es remitida a cuarto nivel de atención, lugar donde dan egreso con manejo antibiótico para manejo de neumonía bacteriana. Corto tiempo después de dar egreso hospitalario reconsulta por nuevo episodio de hemoptisis con shock hemorrágico y empeoramiento del patrón pulmonar, se recoge la información de la hospitalización previa y extrainstitucional y se toman nuevos laboratorios que permiten enfocar el caso y dar el diagnóstico de TBC. Conclusión. Es evidente que esta patología, aunque cuenta con un patrón clásico, en muchas ocasiones puede mostrar nueva sintomatología. Por lo tanto, es importante conocer las diferentes herramientas paraclínicas que nos pueden ayudar a enfocar este diagnóstico y manejar oportunamente.
Palabras clave: Tuberculosis pulmonar - Hemoptisis - Pediatría - Neumonía
Abstract
Introduction: Tuberculosis is a chronic infectious disease caused by Mycobacterium tuberculosis, a highly pathogenic, aerobic, non-encapsulated microorganism that is most prevalent in developing countries. Therefore, it is considered of public health importance. Its high pathogenicity and virulence in pediatric patients make it necessary to take prompt action upon diagnostic suspicion with an adequate therapeutic approach. The socioeconomic inequality that this pathology represents cannot be ignored, so health promotion and prevention play a fundamental role in reducing the prevalence of this and many other preventable infectious pathologies. Case report: A clinical case of tuberculosis in pediatrics is presented, attended at the Hospital Universitario del Quindío San Juan de Dios, a female patient of 14 years and 6 months of age, Colombian nationality, without pathological or family history of importance, with adequate family support network. She was admitted to the institution with 2 weeks of evolution of high respiratory symptoms (intermittent dry cough) with subsequent evolution to frank hematemesis, with significant blood loss leading to shock, hemodynamic instability that required hydric support and transfusion of blood products. Upon admission to the emergency department, control paraclinical tests were requested to clarify the cause of these symptoms, which reported the presence of anemia, leukocytosis, metabolic acidosis. A chest X-ray showed the presence of diffuse interstitial infiltrates without consolidation, upper gastrointestinal endoscopy within normal parameters, negative serial smear tests.
Due to the clinical condition of the patient, she was referred to the fourth level of care, where she was discharged with antibiotic treatment for the management of bacterial pneumonia. Shortly after hospital discharge, she was reconsulted for a new episode of hemoptysis with hemorrhagic shock and worsening of the pulmonary pattern, the information of the previous hospitalization and extrainstitutional hospitalization was collected and new laboratories were taken that allowed to focus the case and give the diagnosis of TB. Conclusion: It is evident that this pathology, although it has a classic pattern, in many occasions it can show new symptomatology. Therefore, it is important to know the different paraclinical tools that can help us to focus this diagnosis and manage it in a timely manner.
Keywords: Pulmonary tuberculosis, Hemoptysis, Pediatrics, Pneumonia.
Introducción
La tuberculosis es una infección bacteriana de carácter crónico, causada por el Mycobacterium tuberculosis, microorganismo aeróbico, no encapsulado. Esta enfermedad, se encuentra extendida a nivel mundial, ya que se estima que alrededor de un tercio de la población es portadora de la infección (1), con mayor prevalencia en países en vías de desarrollo (1).
Constituye un gran problema de salud pública que, a pesar de los múltiples avances en diagnóstico y manejo, continúa cobrando millones de vidas cada año; la infección presenta manifestaciones pulmonares como extrapulmonares, siendo esta última un reto para el profesional de la salud al momento de realizar un diagnóstico oportuno, haciendo de los factores de riesgo parte esencial como índice de sospecha para la búsqueda de los criterios diagnósticos en pediatría (1).
Esta enfermedad ha causado mucho daño en la población, analizando los indicadores de morbilidad y mortalidad a lo largo del tiempo; se puede ver que históricamente se han presentado picos de la infección afectando no solo la salud física y emocional de nuestra población, si no también, generando un alto impacto en los determinantes sociales en salud, teniendo en cuenta que es una enfermedad curable (10).
Según la Organización Mundial de la Salud “OMS”, en el año 2020 se estimó que en el mundo hubo 9,9 millones de casos nuevos de TB, lo cual representa una tasa de 127 por 100 000 habitantes, durante el 2021 la cifra de casos aumento a 10,6 millones para una tasa de 134 por 100 000 habitantes; adicionalmente 1.6 millones fallecieron por esta causa resaltando adicionalmente que el 6.7% se produjeron en pacientes con confección con VIH (10).
Las dificultades diagnósticas plantean el mayor desafío en la población infantil. Debido a que esta puede simular muchas enfermedades comunes, como neumonía, infecciones virales, bacterianas, pacientes desnutridos enmascarar otras patologías, pacientes con VIH (1,2).
Teniendo en cuenta las dificultades diagnosticas también influye en los resultados del tratamiento a nivel mundial, siendo la tasa de éxito en el año 2021del 86 %, disminuye al 77 % en pacientes infectados por VIH y a 60 % en los portadores de tuberculosis resistente a los medicamentos. Para el año 2022, la OMS estimó para Colombia 21 000 nuevos casos, de los cuales se identificaron 17 460, presentándose un incremento de 3 639 casos más que en 2021, con una representación del 83,1 % sobre los casos estimados (10).
Colombia es el quinto país de la región con mayor carga de casos de TB; en el año 2020 se reportaron al Programa Nacional de Tuberculosis, 13.037 casos datos preliminares, con una reducción de un 12,4 % comparativo con el año inmediatamente anterior. (11). Teniendo una tasa de incidencia de 22 casos y de mortalidad de 2.1 casos por cada 100 mil habitantes; En cuanto a los casos y grupos de edad mayormente afectados, están los adultos entre 25 a 34 años con un 19.9%, personas mayores de 65 años con un 18.3%, y un 2.2 % en niños y niñas menores de 15 años. (10,11). Sin embargo, cabe resaltar que el periodo pandémico y post pandémico ha generado disminución en el reporte de casos, por la baja captación de sintomáticos respiratorios en los prestadores de servicios de salud (11).
A nivel mundial se identifica la tuberculosis como la principal causa de muerte, tanto en adultos como en niños, la incidencia está subestimada debido a la dificultad en la recolección de las muestras y en los criterios diagnósticos, principalmente en la población pediátrica (1,2).
Ahora bien, la tuberculosis rara vez es una emergencia puesto que su instauración es crónica, sin embargo existen reportes de casos sobre menores que han adquirido la infección dentro del hogar, lo que nos debería alarmar cada vez más, dándole la importancia en salud pública que realmente tiene. Partiendo de esto, cuenta esto, traemos un reporte de caso de una paciente con un cuadro crítico de hemoptisis el cual no es una presentación común en pediatría cuyo diagnóstico final fue tuberculosis, debido a la presentación atípica del caso lo presentamos para aclarar conceptos, identificar la dificultad del enfoque diagnóstico y establecer cuál es la mejor estrategia de manejo (1,2).
Reporte de caso
Paciente de 14 años y 6 meses de edad, sin antecedentes médicos de importancia, ingresa por cuadro clínico de aproximadamente 2 semanas de evolución consistente en tos seca intermitente, 6 días previos se automedica con ibuprofeno 800 mg una vez al día por 2 días, fluimucil 1 cucharada cada 8 horas, además de lo anterior, comenta hace 4 semanas presencia de epistaxis razón por la cual se tomó hemograma ambulatorio 14.10.2021 en rangos de normalidad.
El día de hoy 29.10.21, presenta episodio de náuseas y posterior hematemesis franca rojo rutilante con coágulos, razón por la cual ingresa al servicio de urgencias adultos del E.S.E. Hospital Universitario San Juan De Dios Armenia (HSJDA), donde dan manejo inicial omeprazol 80 mg en 100 cc de SSN 0.9%, 500 CC de SSN 0.9% en bolo monitorización, O2 por cánula nasal de bajo flujo y toma de paraclínicos.
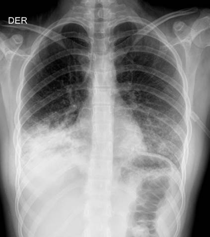
Se trasladan al servicio de urgencias pediatría femenina de 55 kg de peso, talla de 150 cm, a la inspección somnolienta, con taquicardia, taquipnea, normo tensa (114/63 mmhg), paraclínicos iniciales donde se evidencia leucocitosis, disminución de 4 gr de hemoglobina con respecto a los tomados ambulatoriamente, radiografía de tórax (ver figura 1), gases arteriales con acidosis metabólica hiperlactatemia, resto de paraclínicos iniciales en rangos de normalidad.

Figura 1. Infiltrado intersticial de distribución. Infiltrado intersticial de distribución para hiliar y basal derecho, la silueta cardiaca y aorta son de tamaño y configuración normales. Tráquea central. Mediastino normal. Estructuras óseas y tejidos blandos normales.
Se realiza cálculo de creatinina esperada dando como resultado de 1, TFG: 82.56ml/mi/1.73; percentiles de presión arterial P50 th 105/63, P90th 118/76, P95th 123/80, P95th +12 mmhg 135+92, debido a persistencia de sintomatología inicial se inicia trámite de remisión a cuarto nivel de atención con disponibilidad de UCI pediátrica, se suministra 1500 cc en bolo (30 cc/ kg), se reservan 4 unidades de glóbulos rojos.
Se inicia goteo de omeprazol endovenoso (1mg/kg/hora), se indica endoscopia de vías digestivas altas la cual se encuentra normal, posteriormente valorada por otorrinolaringología quien recomienda fibronasolaringoscopia procedimiento el cual reporta hallazgo incidental rinitis alérgica, sugiere sangrado broncopulmonar.
Posteriormente la paciente inicia con presión arterial 80/40 mmhg por debajo del percentil 5 para la edad por lo que se aumentan los líquidos endovenosos, Dada la evolución clínica de la paciente, reporte de TAC de tórax, tensión arterial en el percentil 5 se decide iniciar cubrimiento con ampicilina 1 gr cada 6 horas y claritromicina 500 mg cada 12 horas, valoración urgente por neumología pediátrica, soporte con líquidos endovenosos.
No obstante, la paciente con persistencia de requerimiento de oxígeno suplementario por cánula nasal de bajo flujo, Tensión arterial 101/58 mmhg, persiste taquicardia 109 LPM, taquipnea 30 RPM, auscultación con campo pulmonar derecho hipoventilación, sin sobreagregados, con cubrimiento antibiótico con ampicilina 300 mg/kg/día y claritromicina 10 mg/kg/ dosis.
Reporte de baciloscopias seriadas negativas, sin nuevos sangrados, por el momento estable hemodinámicamente. Sin embargo, por evolución estacionaria al manejo, la paciente es remitida a cuarto nivel de atención para valoración por neumología pediátrica. (Reporte de paraclínicos) (figura 2).

Figura 2. Línea de tiempo reporte de exámenes solicitados en primer tiempo de hospitalización
Paciente reconsulta 2 días después de egreso de Hospital Infantil de Manizales que da salida con esquema antibiótico (Amoxicilina + Ácido clavulánico FI: 03.11.22) por persistencia de tos seca y hemoptisis se pasa de moderada a severa por perdida de volumen de sangre, que ocasiona inestabilidad hemodinámica (choque grado III), desaturada; teniendo en cuenta el contexto de la paciente, se solicita una nueva imagen (Figura 3). Con lo que se establece diagnóstico de neumonía basal derecha de origen bacteriano con características de compromiso por gérmenes atípicos, inician manejo antibiótico con esquema de egreso del HIM, paciente ya cuenta con resultado negativo de Ag y PCR para Sars - Cov 2, TAC previa muestra consolidación basal derecha que confirma el diagnóstico establecido (Imagen 2), reporte de baciloscopia negativo, fibronasolaringoscopia realizada en HIM sugiere sangrado de origen broncopulmonar, broncoscopia con lavado bronquial realizada en esta misma institución concluye que no hay lesiones evidentes. Inmediatamente se inicia reposición hídrica y oxígeno suplementario con cánula nasal a 3 L, terapia respiratoria inicia higiene bronquial.

Se toman paraclínicos de control que reportan anemia normocítica normocrómica, Dímero D muy aumentado, con PCR levemente aumentada; función renal, hepática, tiempos de coagulación, ferritina, parcial de orina, VDRL sin alteración. Se decide transfundir 2 unidades de glóbulos rojos con mejoría clínica significativa. Sin embargo, patrón respiratorio sin mejoría, es valorado por el servicio de infectología del HSJDA, se modifica esquema antibiótico para asegurar cubrimiento adecuado, con Clindamicina y Ceftriaxona, se mantiene sospecha de infección por TB aún con pruebas previas negativas, por lo que se decide aislar a la paciente. Reporte de TAC con contraste muestra infiltrado intersticial del pulmón izquierdo y consolidación de lóbulo inferior y medio del pulmón derecho.
Paciente con cuadro sumamente confuso debido a la edad, sin presencia de factores de riesgo de importancia; se investiga probable compromiso inmunológico, se solicitan pruebas de VIH para aplicar abanico diagnóstico, con reporte negativo; también se realiza fibrobroncoscopia con lavado bronco alveolar que reporta positivo 1-9 para BAAR en 100 cm, baciloscopia positiva, se documenta caso de TB y se inicia protocolo de aislamiento y manejo con tetraconjugado basado en peso Rifampicina - Isoniazida - Pirazinamida - Etambutol (RHZE) 50 Kg - 3 Tb diarias (primera fase 56 días), de la mano con el servicio de programas especiales (PE), se brinda educación para culminar manejo ambulatorio. Se da egreso a la paciente con estabilidad hemodinámica, sin signos de SIRS, en control por servicio de PE para verificar efectividad terapéutica (Paraclínicos) (figura 4).

Figura 4. Línea de tiempo. reporte de exámenes solicitados en nueva hospitalización, tras nueva consulta.
Discusión
La tuberculosis es llamada históricamente tisis, es una infección bacteriana de carácter crónico, causada por el Mycobacterium tuberculosis, microorganismo aeróbico, no encapsulado (1). Es generada cuando un individuo con la enfermedad activa tose, habla o estornuda al lado de un paciente sano (1).
Es la principal causa de muerte por enfermedad infecciosa en el mundo, continúa siendo una epidemia a nivel mundial, con más de 10 millones de personas que se enferman cada año. (2) La patogenia y los factores de riesgo siguen causando morbilidad a nivel mundial de estos el 87% residen en países en desarrollo y con alto índice de pobreza como lo son África y Asia (2,3).
Colombia es el quinto país de la región con mayor carga de casos de TB; en el año 2020 se reportaron al Programa Nacional de Tuberculosis, 13.037 casos datos preliminares, con una reducción de un 12,4% comparativo con el año inmediatamente anterior. (11). Teniendo una tasa de incidencia de 22 casos y de mortalidad de 2.1 casos por cada 100 mil habitantes; En cuanto a los casos y grupos de edad mayormente afectados, están los adultos entre 25 a 34 años con un 19.9%, personas mayores de 65 años con un 18.3%, y un 2.2% en niños y niñas menores de 15 años. (10,11). Sin embargo, cabe resaltar que el periodo pandémico y post pandémico ha generado disminución en el reporte de casos, por la baja captación de sintomáticos respiratorios en los prestadores de servicios de salud. (11).
Constituye un gran problema de salud pública, ya que, a pesar de los múltiples avances en diagnóstico, múltiples organizaciones que se encargan de mejorar la prevención, diagnóstico y tratamiento oportuno de esta, continúan siendo un desafío para los profesionales de la salud y cobrando millones de vidas cada año, debido a que las manifestaciones clínicas en los niños son inespecíficas y se requiere alto grado de sospecha para poder realizar un diagnóstico oportuno (3).
La tuberculosis, provocada por Mycobacterium tuberculosis, desata una compleja interacción entre el sistema inmunológico del huésped y la astucia de la micobacteria. La transmisión, fundamentalmente es a través de secreciones respiratorias e implica un contacto cercano con una persona bacilífero (13,14).
La tuberculosis, provocada por Mycobacterium tuberculosis, desata una compleja interacción entre el sistema inmunológico del huésped y la astucia de la micobacteria. La transmisión es fundamentalmente a través de secreciones respiratorias, lo cual implica un contacto cercano con una persona bacilífero (13).
La respuesta inmunológica en niños, debido a la inmadurez de su sistema inmunológico, puede ser menos eficiente en comparación con los adultos. En situaciones de producción bacilífero, donde hay liberación activa de bacilos, los niños pueden expulsarlos al ambiente al toser y producir esputo. La deglución del esputo por parte del niño contribuye a la ingestión de bacilos, facilitando la propagación y diseminación de la infección, incluso hacia formas extra pulmonares de tuberculosis (13,14).
Por otro lado, tras la primoinfección, los niños eliminan escasos bacilos a través de las secreciones respiratorias, resultando en una baja carga bacteriana. Este fenómeno hace que los niños sean excepcionalmente no bacilíferos y, por ende, poco contagiosos. En resumen, la interacción compleja entre la respuesta inmunológica, la producción bacilífera y la eliminación de bacilos en niños destaca la necesidad de comprender y abordar eficazmente la tuberculosis en este grupo poblacional (14,15).
En contexto a lo anterior, aproximadamente el 90% de los niños que en algún momento de su vida presentaron contacto con el Mycobacterium tuberculosis no se enferman o quedan con la infección latente, el 10% restante se enferma y se puede manifestar durante los 5 años posterior a generarse la o el primer contacto con el microorganismo (4).
Existen factores de riesgo de padecer la enfermedad de los cuales se incluyen el estado socioeconómico, la edad, estado nutricional del paciente y presencia de comorbilidades como la infección por virus de inmunodeficiencia humana (5).
El diagnóstico en la edad pediátrica es un desafío debido a que en la mayoría de casos las pruebas consideradas como gold standard para el diagnóstico resultan ser ineficientes por si solas, razón por la cual se hace necesario varios criterios clínicos y paraclínicos puesto que en muchos casos pueden haber falsos negativos, esto nos indica las dificultades para corroborar el diagnóstico en edad pediátrica, (4,5), dentro de las pruebas estándar para el diagnóstico tenemos la prueba de la tuberculina (PT) se basa en la reacción de hipersensibilidad retardada tras la inyección intradérmica de 0,1 ml de derivado proteico purificado de Mycobacterium tuberculosis complex (MTB). Su interpretación depende de factores epidemiológicos y clínicos. La positividad de la PT solo indica infección TB, y los pacientes con resultado positivo deben ser evaluados para descartar enfermedad (12).
Otra prueba que se puede realizar, los interferon-gamma release assay (IGRA) son técnicas para la detección en sangre de interferón-gamma producido por células T sensibilizadas por antígenos específicos de MTB. Su sensibilidad es similar a la PT, pero su especificidad es mayor ya que estos antígenos no están presentes en la cepa vacunal BCG de M. bovis ni en las micobacterias no tuberculosas, sin embargo, no se recomienda en menores de 5 años (12). La sensibilidad de la PT y los IGRA por separado en el diagnóstico de ITB/TB se encuentra en torno al 70-80%, pero su combinación supera el 90%, (12); por lo tanto, realizar en conjunto las pruebas mejora las probabilidades diagnósticas (12).
En cuanto a las pruebas de imagen en el diagnóstico de la tuberculosis la radiografía de tórax en proyección postero-anterior y lateral está indicada ante cualquier sospecha de TB, pulmonar o extrapulmonar, Aunque sigue siendo la prueba de elección habitual, es poco específica, no siempre muestra hallazgos característicos, y muestra pobre concordancia entre distintos observadores (12).
La tomografía computarizada (TC) es más sensible que la Rx, pero su realización sistemática no se recomienda, razón por la cual solo se indica en pacientes pediátricos con hallazgos radiológicos equívocos, clínica no compatible, seguimiento de casos complejos (12).
La ecografía es una prueba cada vez más utilizada que se puede realizar a pie de cama. En el pulmón permite visualizar consolidaciones, cavitaciones y nódulos miliares, siempre que los cambios estén en contacto con la pleura, sin pulmón aireado intermedio. Detecta linfadenopatías mediastínicas y, con más dificultad, hiliares. En manos expertas, tiene mayor sensibilidad que la Rx para detectar linfadenopatías mediastínicas. (12).
Diagnóstico microbiológico en niños sin capacidad de expectorar, requiere de técnica adecuada para la recolección de la muestra, siendo la elección el aspirado de jugo gástrico (mínimo 3-4 ml; a mayor volumen, mayor sensibilidad) recogido en ayunas en 3 días consecutivos, o el esputo inducido, que tiene una sensibilidad similar y se obtiene administrando salbutamol inhalado y posteriormente suero salino hipertónico al 3%, nebulizado durante 15 min. Siempre debemos tener en cuenta que una baciloscopia negativa nunca descarta la enfermedad. El Cultivo Es la prueba diagnóstica de referencia. Permite identificar la especie y realizar estudios fenotípicos de resistencia a los fármacos antituberculosos. Tiene el inconveniente de su baja sensibilidad (30-50 %) y de la necesidad de 2 a 4 semanas para obtener el resultado definitivo (12).
Técnicas moleculares, reacción en cadena de la polimerasa y secuenciación masiva. Aunque no reemplazan al cultivo como técnica de referencia, tiene una sensibilidad próxima a éste, alta especificidad en niños y permiten obtener resultados en pocas horas. La técnica más extendida es Xpert® MTB/RIF, que permite detectar simultáneamente la resistencia a rifampicina (12).
En el caso clínico presentado, la paciente contaba con una manifestación clínica poco frecuente pero mortal, la hemoptisis, cuya prioridad en su manejo indica conocer su etiología. Dentro de los diagnósticos diferenciales encontrados para dicha causa es la aspiración de cuerpo extraño, infección, hemorragia extra pulmonar, traumatismos y las enfermedades cardíacas, es importante resaltar que la mayoría de los niños tienen enfermedades de base las cuales son necesarias estudiar e individualizar (6,7).
La mayoría de los casos de hemoptisis se pueden atribuir a infecciones o procesos que incluyen neumonía bacteriana, bronquitis, bronquiectasias difusas, neoplasias, traumatismos, hemorragia pulmonar inducida por cocaína y tuberculosis pulmonar, aunque la tuberculosis es una causa subyacente de hemoptisis, es más probable que la enfermedad se manifieste con síntomas clásicos como fiebre, diaforesis nocturna, anorexia, pérdida de peso, linfadenopatía inexplicables. Como es el caso de la paciente presentada, en la que se descartó malformaciones genéticas o alteraciones de la coagulación, dejando una alta probabilidad de tener un proceso infeccioso y de estos, debido al riesgo epidemiológico de la zona, la tuberculosis representa la causa más probable (7,8).
Así las cosas, la hemoptisis franca rara vez es el primer síntoma para sospechar tuberculosis, pero es la presentación de una enfermedad extensa y causa de excavación y ulceración de vasos sanguíneos dentro de la pared de la cavidad, las lesiones pueden estar altamente vascularizadas, la ruptura de estos vasos puede ocasionar el sangrado y ser potencialmente mortal para los pacientes (8).
En concordancia, la tuberculosis en niños es un indicador centinela de la tuberculosis en la comunidad, que indica transmisión reciente en una población desde una persona adulta bacilífero (3), Teniendo en cuenta lo anterior, se convierte en vital importancia los diagnósticos oportunos y seguimientos de los pacientes con presentaciones atípicas de la enfermedad con el fin de dar a conocer el abordaje multidisciplinario de estos pacientes, actuar de manera oportuna y disminuir la mortalidad de los mismos (8).
En conclusión, la tuberculosis pediátrica es una enfermedad con alta tasa de incidencia y mortalidad, la incidencia a nivel global es compleja de estimar debido a las manifestaciones clínicas inespecíficas que conlleva el reconocimiento inoportuno y escaso de la enfermedad y por ende un diagnóstico tardío. las manifestaciones clínicas en los niños son menos específicas a diferencia de los adultos (9), como es el caso de nuestra paciente que presenta inicialmente un síntoma poco común, pero mortal (9). Por ende, es muy importante continuar con formación médica de profesionales íntegros, que permitan identificar o sospechar oportunamente este tipo de patologías y así reducir su incidencia y mortalidad (3).
Conflicto de intereses
No se encuentran conflictos de intereses por parte de los investigadores en el caso clínico en mención
Contribución de autores
Todos los autores mencionados contribuyeron a la recolección de datos, seguimiento de la paciente, búsqueda de información y redacción del reporte de caso.
Consideraciones éticas
Diligenciamos el consentimiento informado, firmado por la paciente y acudiente, quienes autorizan la realización, publicación del caso, las imágenes y datos que lo acompañan.
Agradecimientos
Expresamos nuestros agradecimientos al E.S.E Hospital Departamental Universitario del Quindío San Juan de Dios (Quindío, Colombia), por permitirnos realizar este tipo de investigaciones que contribuyen día a día a la formación del personal médico.
Referencias
1. Mandal N, Anand P, Gautam S, Das S, Hussain T. Diagnosis and treatment of paediatric tuberculosis: An insight review. Critical Reviews in Microbiology. Publicado en el año 2017. DOI: 10.1080/1040841X.2016.1262813. Disponible en: https://pubmed.ncbi.nlm.nih.gov/28502224/
2. Furin J, Cox H, Pai M. Tuberculosis. The Lancet Review. Publicado en el año 2019. DOI: 10.1016/S0140-6736(19)30308-3. Disponible en: https://pubmed.ncbi.nlm.nih.gov/30904262/
3. Ramos Amador JT, llan Ramos M, Francisco L. Actualización en tuberculosis infantil. En : AEPap. Servicio de pediatría hospital clínico San Carlos. Madrid. : Lúa Ediciones 3.0; 2018. p. 253-257.Publicado en el año 2018. Disponible en : https://www.aepap.org/sites/default/files/253-257_actualizacion_en_tuberculosis.pdf
4. Guarda ME, Kraft J. Tuberculosis in children, how is it diagnosed? Enfermedades respiratorias infantiles. Publicado en el año 2017. DOI: 10.1016/j.rmclc.2017.02.011. Disponible en https://www.elsevier.es/es-revista-revista-medica-clinica-las-condes-202-articulo-la-tuberculosis-en-el-nino-S0716864017300202
5. Parra M. Pediatric tuberculosis. Instituto nacional de pediatria - Ciudad de Mexico. Publicado en el año 2017. Disponible en: https://www.scielo.org.mx/scielo.php?script=sci_arttext&pid=S1665-11462017000100001
6. Simon DR, Aronoff SC, Del Vecchio MT. Etiologies of hemoptysis in children: A systematic review of 171 patients. Pediatr Pulmonol. Publicado en el año 2016. DOI: 10.1002/ppul.23497. Disponible en: https://pubmed.ncbi.nlm.nih.gov/27575742/
7. Marcy O, Borand L, Ung V, et al. A Treatment - decisión score for HIV - infécted children with suspected tuberculosis. Pediatrics. Publicado en el año 2019. DOI: 10.1542/peds.2018-2065. Disponible en:
https://pubmed.ncbi.nlm.nih.gov/31455612/
8. Abu - Kishk I, Klin B, Eshel G. Hemoptysis in Children: a single institutional experience. Pediátric Emerg Care. Publicado en el año 2012. DOI: 10.1097/PEC.0b013e318271c107. Disponible en:
https://pubmed.ncbi.nlm.nih.gov/23114250/
9. Ramos JT, Berzosa A, Caballero C, Ramos M. Tuberculosis pulmonar en pediatría. Unidad de enfermedades infecciosas en pediatría, Hospital clínico San Carlos. Madrid. Publicado en el año 2021. Disponible en https://www.pediatriaintegral.es/publicacion-2021-03/tuberculosis-pulmonar-en-pediatria/
10.Boletín epidemiológico de Antioquia, periodo epidemiológico 3 del 2023. Gobernación de Antioquia, Colombia. Publicado en el año 2023. Disponible en: https://dssa.gov.co/images/2023/documentos/BEA/BEA_PERIODO_3_2023.pdf
11.Boletín de prensa No 398 de 2021. Min salud. Publicado en el año 2021. Disponible en : https://www.minsalud.gov.co/Paginas/Colombia-destaca-reduccion-de-la-tuberculosis-.aspx
12.F. Baquero-Artigao, T. del Rosal, L. Falcón-Neyra et al., Actualización del diagnóstico y tratamiento de la tuberculosis, Anales de Pediatría, https://doi.org/10.1016/j.anpedi.2023.03.011
13. Patrida Rangchaikul, Phillip Ahn, Michelle Nguyen, et all. Review of Pediatric Tuberculosis in the Aftermath of COVID-19. Clin Pract. Publicado en el año 2022. DOI:10.3390/clinpract12050077. Disponible en: https://pubmed.ncbi.nlm.nih.gov/36136871/
14. Siddalingaiah, N., Chawla, K., Nagaraja, .et all. Risk factors for the development of tuberculosis among the pediatric population: a systematic review and meta-analysis. European Journal of Pediatrics. European Journal of Pediatrics. Publicado en el año 2023. Disponible en: https://link.springer.com/article/10.1007/s00431-023-04988-0#citeas
15. Babafemi, E.O., Cherian, B.P., Ouma, B. et al. Paediatric tuberculosis diagnosis using Mycobacterium tuberculosis real-time polymerase chain reaction assay: a systematic review and meta-analysis. Publicado en el año 2021. Disponible en: https://systematicreviewsjournal.biomedcentral.com/articles/10.1186/s13643-021-01836-w#citeas