Pediatría
ISSN impreso:0120-4912
e-ISSN:2444-9369
DOI:
10.14295/rp.v56i2.432

Reporte de caso


Fístula Traqueoesofágica por Ingesta de Pila de Botón ¿Manejo Conservador?


Tracheoesophageal Fistula due to Button Battery Ingestion, Conservative Management?



Arturo Emilio Guerra Rodrígueza, Manuel Alfredo Medellín Vázqueza, Manuel Alfredo Medellín Vázqueza, Jesús Eduardo Treviño Alvaradoa, Carlos Alberto Zapata Castillejaa, José Guillermo Martínez Floresa.

a. Departamento de Pediatría del Hospital Universitario “Dr. José Eleuterio González” Monterrey, Nuevo León, México.

Recibido 21 de enero de 2023 Aceptado 20 de junio de 2023

Como Citar: Guerra Rodríguez AE, Medellín Vázquez MA, Medellín Vázquez MA, Treviño Alvarado JE, Zapata Castilleja CA, Martínez Flores JG. Fístula Traqueoesofágica por Ingesta de Pila de Botón ¿Manejo Conservador?. Pediatr. 2023;56(2): e432.

Autor para correspondencia: Arturo Emilio Guerra Rodríguez
Correo electrónico: dr.aguerra95@gmail.com


Editor Jefe: Fernando Suárez-Obando



Resumen

Antecedentes: La ingesta de cuerpos extraños es un motivo de consulta frecuente en pediatría. Las complicaciones derivadas de este evento varían según el objeto ingerido. En el caso específico de la ingestión de una pila de botón, puede provocar daño directo en las estructuras del sistema digestivo, desde quemaduras en la mucosa hasta perforación y lesiones en estructuras adyacentes. Reporte de caso: Presentamos el caso de una niña de 2 años y 10 meses de edad, con antecedente de ingesta de una pila de botón de 8 días de evolución. Como consecuencia secundaria, desarrolló una fístula traqueoesofágica de 20 mm de diámetro. Se decidió seguir un enfoque conservador, el cual resultó en una resolución completa de la lesión mediante el cierre espontáneo. Conclusiones: La ingestión de una pila de botón puede ocasionar lesiones severas debido a las propiedades particulares del objeto, las cuales dañan directamente la mucosa digestiva en el lugar de impacto. Es fundamental evaluar cada caso individualmente, considerando el tiempo transcurrido desde la ingestión y el lugar de impacto, para determinar el enfoque de manejo más adecuado para cada paciente.

Palabras clave: Ingesta de cuerpo extraño, ingesta de pila de botón, fístula traqueoesofágica endoscopía, cierre espontaneo de fístula traqueoesofágica.


Abstract

Background: Foreign body ingestion is a frequent reason for consultation in paediatrics. Complications arising from this event vary depending on the object ingested. In the specific case of button battery ingestion, it can cause direct damage to the structures of the digestive system, from mucosal burns to perforation and injury to adjacent structures. Case report: We present a case of a 2-year-old, 10-month-old girl with a history of ingesting a button battery eight days prior. As a result, she developed a 20mm-diameter tracheoesophageal fistula. Conservative management was chosen, which resulted in complete resolution with spontaneous closure of the fistula. Conclusions: Button battery ingestion can cause severe injuries due to the unique properties of the object, which directly damage the impacted area of the digestive mucosa. Each case should be evaluated individually, considering the duration of evolution and the site of impaction, in order to determine the most appropriate management for the patient.

Key words: Foreign-body eating, button Cell Eating, Tracheoesophageal fistula endosonography, Tracheoesophageal fistula spontaneous closure.




Introducción

La ingesta de un cuerpo extraño en la infancia es un motivo de consulta frecuente en el servicio de urgencias pediatria, es un evento en el cual el paciente ingiere un objeto pequeño, usualmente monedas, juguetes, pilas de botón y otros objetos diversos (1). La evolución clínica es dependiente de las características del objeto ingerido, se puede clasificar de acuerdo con su forma en tipo romo o punzante y del mismo modo si el objeto presenta una característica particular como imantación, corriente eléctrica o sustancias químicas, por lo que el propósito de identificar el objeto ingerido es indispensable para establecer el manejo y valorar las posibles complicaciones por el cuerpo extraño ingerido.

La ingesta de una pila de botón, es particularmente dañina, no solo por su impactación especialmente a nivel esofágico, si no por su capacidad de causar necrosis en esófago debido a la corriente eléctrica que transmite a la mucosa digestiva, lo cual puede llevar a diferentes complicaciones dependientes del tiempo que transcurre impactado en el mismo sitio, entre ellas, puede variar desde quemadura leve en mucosa digestiva hasta perforación y lesión de estructuras adyacentes como la adquisición de una fístula traqueoesofágica (8, 9, 10 y 11). La atención inmediata que se debe ofrecer es el retiro del objeto causal como lo es la pila de botón y posteriormente se debe atender de acuerdo con la situación clínica las complicaciones adquiridas.


Reporte de caso

Paciente femenino de 2 años y 10 meses de edad, quien comenzó a presentar síntomas nueve días antes de su ingreso al hospital. Los síntomas incluyen tos seca y vómitos con contenido gastroalimentario en tres ocasiones. La paciente acudió a un médico externo en el séptimo día, quien recomendó un tratamiento sintomático. Como resultado, se observó una mejoría parcial en la tolerancia a la ingesta oral, permitiendo la incorporación de alimentos líquidos en su dieta.

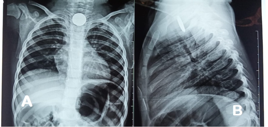
Al octavo día se incrementa la tos y presenta un episodio de hematemesis, por lo cual se solicita radiografía de tórax, que evidencia la presencia de un cuerpo extraño compatible con pila de botón (Ver figura 1A y 1B), por lo que se realiza endoscopía para su extracción (Ver figura 2A), siendo exitosa y evidenciando a su retiro, la presencia de fístula traqueoesofágica de 5 mm en cara anterior de esófago, con tejido necrótico y áreas de fibrina a su alrededor que condicionan una estenosis de tercio superior de esófago en un 20 % aproximadamente (Ver figura 2B), por lo que es referido a hospital de 3er nivel continuar manejo.

A su llegada a nuestra unidad hospitalaria, se recibe paciente hemodinámicamente estable, con sialorrea moderada y facies dolorosa, por lo cual, se inicia plan de hidratación y analgesia. Se valora por el servicio de gastroenterología, neumología y cirugía pediátrica y se decide realizar una exploración para normar conducta. Se realiza broncoscopía, la cual reporta pérdida de la continuidad de la mucosa con un diámetro de 20 mm, sin datos de sangrado activo ni de cambios morfológicos de vía aérea (Ver figura 2C). A su vez, se realiza endoscopía que corrobora la misma información, además de estenosis de 20 % aproximadamente.

Tras estos hallazgos y al ser valorado por el servicio de cirugía pediátrica, se sugiere manejo conservador, por lo que se indica gastrostomía y funduplicatura de Nissen, por donde se ofreció la alimentación.

Tras cuatro semanas de su ingreso, se realiza nueva endoscopía en la cual se encuentra una disminución del diámetro de la lesión de alrededor de 50 % (Ver figura 3A), a su vez, se encuentra una disminución de la estenosis debido a mejoría de tejido inflamatorio en el sitio de la lesión. También, se realiza nueva broncoscopía con hallazgos similares, sin datos inflamatorios ni de sangrado activo (Ver figura 3B). Con estos hallazgos y al notar una disminución de la sialorrea y mejor control de secreciones, se decide continuar con el manejo conservador en casa y se programa nueva exploración endoscópica a las ocho semanas de su ingreso encontrando ausencia de la lesión con ligeros cambios en cuanto a tejido cicatricial, sin presencia de estenosis esofágica (Ver figura 3C). En cuanto a la broncoscopía, no se encuentra pérdida de la continuidad de la mucosa, ligera presencia de tejido cicatricial en área afectada, sin datos de inflamación o sangrado activo (Ver figura 3D).


Figura 1. A: Presencia de pila de botón en tercio superior de esófago en radiografía anteroposterior de tórax. B: Presencia de pila de botón en tercio superior de esófago en radiografía lateral de tórax.


Figura 2. A: Presencia de pila de botón en tercio superior de esófago vista por endoscopía. B: Lesión comunicante en cara anterior del tercio superior de esófago vista por endoscopía. C. Lesión comunicante con esófago en cara posterior de tráquea vista por broncoscopía.

Figura 3. A: Presencia de fístula traqueoesofágica con disminución de diámetro en un 50% en endoscopía. B: Presencia de fístula traqueoesofágica con disminución de diámetro de un 50% en broncoscopía. C: Endoscopía con ausencia de lesión y aparición de tejido cicatricial. D: Broncoscopía, sin pérdida de continuidad de la mucosa y aparición de tejido cicatricial.


Discusión

La ingesta de cuerpo extraño en pediatría es el acto en el cual un paciente pediátrico ingiere un objeto pequeño, estos usualmente son monedas, juguetes, imanes y pilas de botón (1). A su vez, es una de las causas de endoscopia urgente más comunes en pediatría y puede considerarse un problema de salud pública (2). La edad más común en la cual se dan estos casos es en mayores de seis meses y menores de cinco años (1, 2 y 3). De todos los casos de ingesta de cuerpo extraño, solo el 1% se resuelve quirúrgicamente (1, 2 y 3).

Con el uso de aparatos electrónicos, se ha visto un aumento tanto en el uso de baterías pequeñas como en los casos de ingesta de las mismas, como lo son el caso de las pilas de botón frecuentemente utilizadas en controles remotos y relojes (4). En estudios realizados en animales se ha encontrado que el daño a la mucosa esofágica se puede dar desde los 15 minutos posteriores a los que la pila entra en contacto con la propia mucosa e incluso llegando a causar necrosis en un lapso de 1 a 4 horas (5 y 6).

Hay diferentes complicaciones causadas por la ingesta de pila de botón, de las cuales algunas ya han sido mencionadas, entre ellas se encuentran: ulceración, perforación, necrosis, parálisis de cuerdas vocales y fístula traqueoesofágica (7, 8, 9 y 10).

Se han visto casos en los cuales se produce un cierre espontaneo de la fístula posterior a la extracción de la pila, en estos casos se procedió con la administración de antibióticos, esteroides, la orden de ayuno y la colocación de gastrostomía o sonda nasogástrica, con el fin de evitar un reflujo gastroesofágico, descompresión gástrica y nutrición enteral durante 1 mes (11, 12 y 13).

En diferentes casos de fístula traqueoesofágica como complicación, causada por antecedente de ingesta de pila de botón, produce una lesión de un rango entre 5-15 mm de diámetro, aquellas que han sido tratadas con manejo expectante, han tenido una resolución de la lesión en un lapso de 4 semanas aproximadamente (13 y 14).


Conclusiones

La ingesta de un cuerpo extraño es una urgencia pediátrica muy frecuente y con evoluciones clínicas y desenlaces muy diversos dependiendo del objeto ingerido. La ingesta de pila de botón puede ocasionar lesiones severas por las propiedades particulares del objeto que dañan la mucosa digestiva de forma directa donde se encuentre impactado, se debe evaluar cada caso particular considerando el tiempo de evolución y el sitio de impactación para optar por el manejo más apropiado para el paciente.


Referencias

1. Cadena-León JF, Cázares-Méndez JM, Toro-Monjaraz EM, CervantesBustamante R, Ramírez-Mayans JA. Manejo de la ingesta de cuerpos extraños por vía digestiva. Acta Pediatr Mex. 2019;40(5):290-94.

2. Litovitz T, Whitaker N, Clark L, C. White N and Marsolek EM, Emerging Battery-Ingestion Hazard: Clinical Implications. Pediatrics. 2010;125(6):1168-77. doi: 10.1542/peds.2009-3037;125;1168.

3. Leinwand K, Brumbaugh DE, Kramer RE. Button Battery Ingestion in Children: A Paradigm for Management of Severe Pediatric Foreign Body Ingestions. Gastrointest Endosc Clin N Am. 2016;26(1):99-118. doi: https://doi.org/10.1016/j.giec.2015.08.003.

4. Krom H, Visser M, Hulst JM, Wolters VM, Van den Neucker AM, de Meij T, Van der Doef HPJ, Norbruis OF, Benninga MA, Smit MJM, Kindermann A. Serious complications after button battery ingestion in children. Eur J Pediatr. 2018;177(7):1063-1070. doi: https://doi.org/10.1007/s00431-018-3154-6.

5. Reed MF, Mathisen DJ. Tracheoesophageal fistula. Chest Surg Clin N Am. 2003;13(2):271-89. doi: https://doi.org/10.1016/s1052-3359(03)00030-9.

6. Maluenda C, & Varea V. Protocolos Diagnostico-Terapéuticos de Gastroenterología, Hepatología y Nutrición Pediátrica. ERGON. 2010;(1):131-134.

7. Guzmán SB, Puga-Ayala VM. Retención en el esófago de una batería de botón durante 7 meses en una paciente de 2 años: informe de caso y revisión de la bibliografía. Acta Pediatr. Méx. 2021;42(5):241-46.

8. Chiang MC, & Chen YS. Tracheoesophageal Fistula Secondary to Disc Battery Ingestion. Am J Otolaryngol. 2000;21(5):333-6. doi: https://doi.org/10.1053/ajot.2000.16173.

9. Tanaka J, Yamashita M, Yamashita M, Kajigaya H. Esophageal electrochemical burns due to button type lithium batteries in dogs. Vet Hum Toxicol. 1998;40(4):193-196.

10. Maves MD, Carithers JS, Birck HG. Esophageal burns secondary to disc battery ingestion. Ann Otol Rhinol Laryngol. 1984;93(4 Pt 1):364-9. doi: https://doi.org/10.1177/000348948409300416.

11. Varga, Ágnes MD*; Kovács, Tamás MD, PhD*; Saxena, Amulya K. MD, PhD, DSc, FRCS(Glasg)†. Analysis of Complications After Button Battery Ingestion in Children, Pediatr Emerg Care. 2018;34(6):443-446. doi: https://doi.org/10.1097/PEC.0000000000001413.

12. Anand TS, Kumar S, Wadhwa V, Dhawan R. Rare case of spontaneous closure of tracheo-esophageal fistula secondary to disc battery ingestion. Int J Pediatr Otorhinolaryngol. 2002;63(1):57-9. doi: https://doi.org/10.1016/s0165-5876(01)00624-3.

13. Houas Y, Sahli S, Fitouri F, Ben Salah M, Hamzaoui M. Spontaneous Resolution of a Tracheoesophageal Fistula Caused by Button Battery Ingestion. JAMA Otolaryngol Head Neck Surg. 2016;142(6):609-10. doi: https://doi.org/10.1001/jamaoto.2016.1006.

14. Shibuya S, Azuma T, Lane GJ, Okawada M, Yamataka A. Successful Strategy for the Conservative Management of Acquired Tracheoesophageal Fistula Due to Lithium Button Battery Ingestion. European J Pediatr Surg Rep. 2020;8(1):e18-e22. doi: https://doi.org/10.1055/s-0040-1705157.