Pediatría
ISSN impreso:0120-4912
e-ISSN:2444-9369
DOI:
10.14295/rp.v56i1.431

Reporte de caso


Divertículo de Meckel complicado con una invaginación intestinal ileocecal en una paciente de siete años: reporte de caso y revisión de literatura


Meckel's diverticulum complicated by ileocecal intussusception in a seven-year-old patient: case report and literature review



María Daniels-Garcíaa, Karen Velásquez-Vanegasb, Daniela Mindiola-Jolyc, Pastor Thomas-Olivaresd.

a. Residente de Pediatría. Universidad de Cartagena. Cartagena de Indias, Colombia.
b. Médica General. Universidad de Cartagena. Cartagena de Indias, Colombia.
c. Residente de Pediatría. Universidad del Sinú. Cartagena de Indias, Colombia.
d. Cirujano Pediatra, Hospital Infantil Napoleon Franco Pareja, Cartagena de Indias, Colombia.

Recibido 10 de enero de 2023 Aceptado 07 de febrero de 2023

Como Citar: Daniels-García M, Velásquez-Vanegas K, Mindiola-Joly D, Thomas-Olivares P. Divertículo de Meckel complicado con una invaginación intestinal ileocecal en una paciente de siete años: reporte de caso y revisión de literatura. Pediatr. 2023;56(1): 1-4.

Autor para correspondencia: María José Daniels García
Correo electrónico: majodaniels07@gmail.com


Editor jefe: Fernando Suárez-Obando



Resumen

Antecedentes: el divertículo de Meckel es un remanente del conducto onfalomesentérico que puede tener una complicación excepcional como la invaginación intestinal generando un fenómeno de obstrucción y abdomen agudo quirúrgico. Se ha descrito una prevalencia en lactantes de sexo masculino y edad comprendida entre los cinco meses a tres años. Reporte de caso: se presenta un caso de divertículo de Meckel complicado con una invaginación intestinal en una paciente de siete de años, se enfoca inicialmente como un dolor abdominal agudo a estudio con primera impresión diagnostica apendicitis aguda, sin datos concluyentes en examen físico ni paraclínicos, por lo que se indica tomografía de abdomen con reporte de imagen en diana o en «donut» sugestiva de invaginación intestinal secundaria. Fue intervenida quirúrgicamente sin complicaciones con hallazgos macroscópicos que confirman el diagnóstico y además se identifica la causa. Conclusiones: es uno de los diagnósticos diferenciales para tener en cuenta en abdomen agudo en la edad pediátrica, siendo la resección quirúrgica el tratamiento definitivo. En este caso es llamativa la edad y la presentación clínica, siendo uno de los motivos de descripción del caso en mención.

Palabras clave: Divertículo, intususcepción, abdomen Agudo, dolor Abdominal, pediatría.


Abstract

Background: Meckel's diverticulum is a remnant of the omphalomesenteric duct that can have an unusual complication such as intussusception, generating a phenomenon of obstruction and acute surgical abdomen. A prevalence has been described in male infants aged between 5 months and three years. Case report: a case of Meckel's diverticulum complicated with an intussusception in a seven-year-old patient is presented, initially focused as acute abdominal pain under study with a first impression diagnosed with acute appendicitis, without conclusive data on physical or paraclinical examination. Therefore, abdominal tomography is indicated with a target or donut image report suggestive of secondary intestinal intussusception. She underwent surgery without complications, with macroscopic findings confirming the diagnosis and identifying the cause. Conclusions: it is a differential diagnosis in the acute abdomen in the pediatric age, with surgical resection being the definitive treatment. In this case, the age and clinical presentation are striking, one of the reasons for the description of the case in question.

Key words: Diverticulum, intussusception, abdomen Acute, abdominal Pain, pediatrics.




Introducción

El divertículo de Meckel es un remanente del conducto onfalomesentérico, constituido por todas las capas de la pared intestinal y hasta en un 60 % de los casos puede presentar tejido heterotópico de mucosa gástrica pancreática, colónica o duodeno (1,2). Su prevalencia es del 1 al 2 % de la población general, con una tasa de incidencia específica entre 16.8 y 73.3 por 100 000 años/persona. Es más frecuente en el sexo masculino que femenino (2,3).

La presentación clínica del divertículo de meckel es variable y se asocia a complicaciones secundarias, siendo la hemorragia gastrointestinal baja la más frecuente. En algunas ocasiones, el divertículo de meckel es el punto patológico de la invaginación intestinal, siendo la causa más frecuente de obstrucción intestinal en los lactantes y la edad típica de aparición es de cinco meses a tres años (2,3).

La invaginación intestinal secundaria a divertículo de Meckel es una complicación excepcional que se puede manifestar con datos de oclusión intestinal, pudiendo comportarse como un cuerpo extraño intraluminal y ejercer tracción de la porción proximal intestinal, produciendo una invaginación secundaria (4).

A continuación, presentamos un caso de divertículo de Meckel complicado con una invaginación intestinal en una paciente de siete años, como presentación de edad infrecuente y en relación con esta entidad con diagnostico diferencial de dolor abdominal agudo quirúrgico.


Reporte de caso

Paciente femenina de siete años de edad sin antecedentes de importancia que ingresa al servicio de urgencias pediátricas por cuadro clínico de 24 horas de evolución consistente en dolor abdominal en fosa iliaca derecha sin irradiación asociado a episodios eméticos múltiples, manejados ambulatoriamente con antiespasmódicos sin mejoría por lo que consulta.

A la exploración física con estabilidad hemodinámica y respiratorio, a nivel abdominal con marcado dolor a la palpación en hemiabdomen derecho, sin datos de irritación peritoneal. Se enfoca inicialmente con un dolor abdominal agudo a estudio, se realizan estudios de extensión hemograma con leve leucocitosis con neutrofilia, proteína C reactiva no en rango de bacteriemia, ecografía de abdomen con hallazgos inespecíficos de proceso inflamatorio en yeyuno proximal con liquido libre en cavidad abdominal.

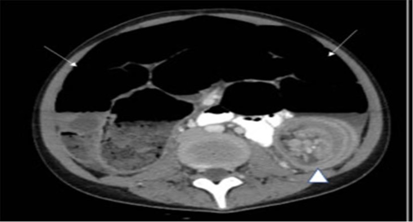
Cursa con deterioro rápido de estado hemodinámico y distención abdominal sin embargo sin datos de irritación peritoneal que requirió reanimación hídrica y uso de antibióticos con ampicilina/sulbactam, así como remisión a Unidad de Cuidados Intermedios. Fue valorada por cirugía pediátrica con indicación de tomografía de abdomen simple y contrastada con evidencia de imagen en diana o en «donut» (Ver imagen 1) sugestiva de invaginación intestinal secundaria. Es llevada de inmediato a laparotomía exploratoria abierta con hallazgos intraoperatorios (Ver imagen 2) de invaginación intestinal ileocecal secundaria a divertículo de Meckel con signos de isquemia y marcado edema, con dilatación de asa proximal, liquido cetrino libre en cavidad en moderada cantidad, adenomegalias mesentéricas sobre la región ileocolica, se realiza resección intestinal en un segmento de aproximadamente 20 cm de íleon distal a aproximadamente 20 cm de la válvula ileocecal con posterior anastomosis termino terminal, sin eventos durante la intervención.

Durante su cuidado postquirúrgico se traslada a sala de hospitalización, cumple terapia antibiótica por 7 días. Es egresada de la institución sin complicaciones después de su estancia. Actualmente se encuentra asintomática y en seguimiento por cirugía pediátrica.


Figura 1. Tomografía de abdomen.

Se señala en la imagen signo de «diana» secundaria a invaginación intestinal.


Figura 2. Hallazgos intraoperatorios.

Se aprecia en a, la invaginación intestinal ileocecal secundaria a divertículo de Meckel, en b se aprecian signos de isquemia y marcado edema, con dilatación de asa proximal.


Discusión

El divertículo de Meckel es la anomalía congénita más frecuente del aparato digestivo y se debe a la obliteración incompleta del conducto onfalomesentérico durante la 7ª semana de gestación (5). Las complicaciones se presentan en un 4 al 25 % (6), cuando ocurren, son con mayor frecuencia obstrucción intestinal, intususcepción, diverticulitis y sangrado, y la mayoría de las obstrucciones son secundarias a invaginaciones. Claramente, dado que la mayoría de las invaginaciones son de origen idiopático y la mayoría de los divertículos de Meckel son asintomáticos, el diagnóstico de invaginación intestinal secundaria a divertículo de Meckel es muy raro en todas las poblaciones (7), de aquí la importancia de conocer esta posibilidad para evitar diagnósticos tardíos y sus consecuencias como isquemia y necrosis intestinal, alteraciones hidroelectrolíticas y estados de choque que pueden tener consecuencias fatales o secuelas permanentes.

El divertículo de Meckel complicado con invaginación intestinal se ha reportado entre los 3 meses y los 3 años constituyendo hasta el 52,9% de todas las invaginaciones (8). Keese y colaboradores evidenciaron una edad promedio de presentación de 5,1 años con una la relación hombre:mujer, que se ha informado entre 2:1 y 4:1 (9).

La edad de presentación de nuestra paciente es infrecuente sobre todo como invaginación secundaria. La localización de este tipo de invaginaciones es típicamente ileocólicas, seguidas de ileoileocólicos, ileo-ileales y colocólicos con mucho menor frecuencia (7).

Las manifestaciones clínicas incluyen dolor abdominal (57 %) y los vómitos o náuseas (51 %) y hasta un 20 % heces con sangre o sangrado rectal (10). El diagnostico se puede realizar una tomografía computarizada con contraste o una resonancia magnética como una estructura tubular en el cuadrante inferior derecho o cerca del ombligo. La aproximación diagnostica se puede realizar con ecografía con evidencia de signo de «diana o pseudo riñón» o «signo de sándwich» (11).

El tratamiento actual para el divertículo de Meckel complicado con invaginación es la resección quirúrgica junto con cualquier intestino delgado circundante inflamado (10).


Conclusiones

En resumen, informamos un caso pediátrico con un divertículo de Meckel complicado con una invaginación intestinal que fue tratado con éxito mediante laparotomía exploradora y resección.


Referencias

1. Guzmán S, Galván A, Lara S, Hernández M, García A, Castañeda E, Rojas P, García S. Divertículo de meckel con tejido pancreático ectópico en un niño de 12 años con invaginación intestinal. Informe de caso y revisión de la literatura. Cir. 2018;86(5):450- 454.

2. Merayo M, Fernández D, Gonzales J, Sanz L, Álvarez J, Perforación de divertículo de Meckel por cuerpo extraño. Rev Gastroenterol Mex (Engl Ed) 2019; 84(1):112-114.

3. Soria-Céspedes D, Leuchter-Ibarra J, Ventura-Molina V, Mora- Constantino, J. Intususcepción ileocólica en un adulto causado por divertículo de Meckel invertido. Rev Gastroenterol Mex 2012; 77(4), 220–223.

4. Srisajjakul S, Prapaisilp P, Bangchokdee S. Many faces of Meckel’s diverticulum and its complications. Jpn J Radiol 2016; 34(5):313–320.

5. Yahchouchy EK, Marano AF, Etienne JCF, Fingerhut AL. Meckel’s diverticulum. J Am Coll Surg 2001;192(5):658–62.

6. Kuru S, Kismet K. Meckel’s diverticulum: clinical features, diagnosis and management. Rev Esp Enferm Dig 2018 Nov; 110(11):726-732.

7. Huang C. C, Lai M, W Hwang, F. M, Yeh YC, Chen, SY, Kong, MS, Lai J. Y, Chen, J C, Ming YC. Diverse presentations in pediatric Meckel’s diverticulum: A review of 100 cases. Pediatr Neonatol 2014; 55(5):369–375.

8. Keese D, Rolle U, Gfroerer S, Fiegel H. Symptomatic Meckel’s Diverticulum in Pediatric Patients-Case Reports and Systematic Review of the Literature. Front Pediatr. 2019;26:7:267.

9. Francis A, Kantarovich D, Khoshnam N, Alazraki A L, Patel B, Shehata B. M. Pediatric Meckel’s Diverticulum: Report of 208 Cases and Review of the Literature. Fetal Pediatr Pathol 2016;35(3):199–206.

10. Sanchez TR, Corwin MT, Davoodian A, Stein-Wexler R. Sonography of Abdominal Pain in Children: Appendicitis and Its Common Mimics. J Ultrasound Med 2016;35(3):627-35.

11. Edwards EA, Pigg N, Courtier J, Zapala MA, MacKenzie JD, Phelps AS. Intussusception: past, present and future. Pediatr Radiol 2017;47(9):1101-1108.