Pediatría
ISSN impreso:0120-4912
e-ISSN:2444-9369
DOI:
10.14295/rp.v55i2.356

Reporte de caso


Teratoma maduro retroperitoneal en un infante, una entidad poco frecuente. A propósito de un caso


Retroperitoneal mature teratoma in an infant, a rare entity. A case report.



Jorge Aurelio Gutiérrez-Gonzáleza, Anya Yamilia Adame-Gutiérreza, Luis Tamez-Pedrozaa, Edmundo Martínez-Garzab, José Guillermo Martínez-Floresa,b, Fernando Félix Montes-Tapiaa,b, Gerardo Enrique Muñoz-Maldonadoa.

a. Servicio de Cirugía General, Hospital Universitario Dr. José Eleuterio González, Universidad Autónoma de Nuevo León, Monterrey, Nuevo León, México.
b. Servicio de Pediatría, Hospital Universitario Dr. José Eleuterio González, Universidad Autónoma de Nuevo León, Monterrey, Nuevo León, México.

Recibido 8 de febrero de 2022 Aceptado 17 de agosto de 2022

Como Citar: Gutiérrez-González JA, Adame-Gutiérrez AY, Tamez-Pedroza LT, Martínez-Garza E, Martínez-Garza JG, Montes-Tapia FF, Muñoz- Maldonado GE. Teratoma maduro retroperitoneal en un infante, una entidad poco frecuente. A propósito de un caso. Pediatr. 2022;55(2): 101-105.

Autor para correspondencia: Jorge Aurelio Gutiérrez González
Correo electrónico: j_gtz_gzz@hotmail.com


Editor Jefe: Fernando Suárez-Obando



Resumen

Antecedentes: Los teratomas representan el 3 % de las neoplasias malignas infantiles y son el tercer tumor retroperitoneal pediátrico más común. Reporte de caso: Femenina de 4 años que fue ingresada por dolor abdominal, distensión y masa intrabdominal palpable. En su abordaje la tomografía evidencia una masa compatible con teratoma, por lo que se realiza laparotomía exploradora donde se observa tumoración con múltiples adherencias, se logra resecar por completo sin complicaciones, cursa su postoperatorio sin incidentes y es egresada a los 5 días. La histopatología confirmó teratoma maduro. Conclusiones: El teratoma retroperitoneal a pesar de su poca incidencia, es una patología que verá cualquier medico de primer contacto inicialmente y se debe tener en cuenta en el diagnóstico diferencial ante un paciente con masa intraabdominal y dolor abdominal. Su manejo oportuno es imperativo.

Palabras clave: Teratoma, maduro, cirugía, teratoma retroperitoneal, tumor de células germinales.


Abstract

Background: Teratomas account for 3 % of childhood malignancies and are the third most common pediatric retroperitoneal tumor. Case report: A 4-year-old female was admitted with abdominal pain, distension, and palpable intra-abdominal mass. In the clinical approach, the tomography showed a mass compatible with teratoma, so an exploratory laparotomy was performed where a tumor with multiple adhesions was observed; it was resected entirely without complications; her postoperative course was uneventful, and she was discharged after five days. Histopathology confirmed mature teratoma. Conclusion: Despite its low incidence, Retroperitoneal teratoma is a pathology that first-contact physician will initially recognize. It should be considered in the differential diagnosis of a patient with intra-abdominal mass and abdominal pain. Its timely management is imperative.

Key words: Teratoma, mature, surgery, retroperitoneal teratoma, germ cell tumor.




Introducción

Los teratomas son neoplasias compuestas de dos o tres capas de celulas germinales, ya sea endodermo, mesodermo o ectodermo. Por lo anterior pueden contener piel, cabello, dientes, tejido cerebral, nervios, tejido adiposo, cartílago, entre otros. Con base en sus características morfológicas se pueden clasificar como sólidos, quísticos o mixtos (1–3).

Los teratomas representan el 3 % de todas la neoplasias malignas infantiles (4). Se han descrito en cualquier zona de la línea media, incluyendo región sacrococígea, gónadas, mediastino, retroperitoneo, y región cervicofacial, entre otras (2).

Los teratomas retroperitoneales (TRP) son el tercer tumor retroperitoneal pediátrico más común, después del neuroblastoma y tumor de Wilms (1,5). Son poco frecuentes, incluso representan entre el 2 al 5 % de todos los teratomas pediátricos (5,6).

El diagnóstico es un desafío, la mayoría se detecta incidentalmente, otros debutan con aumento del perímetro abdominal y con una masa intraabdominal palpable (1,7).

Los teratomas también se pueden clasificar en maduros e inmaduros con base en sus características histológicas y el grado de diferenciación tisular (2,3,8). En pacientes pediatricos suelen predominar los maduros, estos carecen de componentes premalignos o malignos, se consideran benignos y presentan bajo potencial maligno, sin embargo, se puede llegar a desarrollar. Por otra parte los inmaduros, suelen ser más voluminosos, sólidos, presentan mayor recurrencia local y son potencialmente malignos (2).

El diagnóstico se sospecha con base en la clínica y estudios de imagen, mediante ultrasonido, tomografía y resonancia nuclear magnética (1,5,9)


Reporte de caso

Paciente femenina de cuatro años, sin antecedentes de importancia. Fue ingresada por dolor abdominal de ocho días de evolución localizado en hipocondrio y flanco derecho de intensidad leve, tipo cólico, sin agravantes o atenuantes, acompañado de distensión abdominal.

Al ingreso hospitalario se encontraba alerta, cooperadora y con signos vitales estables. A la exploración física, el abdomen se encontraba ligeramente distendido, blando, depresible, peristalsis presente, se palpaba masa única en hipocondrio y flanco derecho, de consistencia blanda, inmóvil, sin peristalsis y no pulsátil.

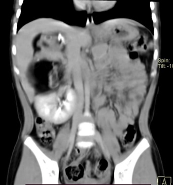
Se le realizó tomografía de abdomen contrastado donde se ubicó, en topografía suprarrenal derecha, masa de 9 x 6 x 6 cm heterogénea, de predominio hipodensa, con areas de densidad de tejidos blandos y quísticos en su interior, así como calcificaciones gruesas, que condiciona desplazamiento superior y anterior del hígado alcanzando región subdiafragmática y desplazamiento caudal del riñón derecho y su hilio vascular, además, la vena cava se desplazaba hacia la izquierda. Se observaba una interfase entre la masa y el hígado y riñón. Los hallazgos descritos eran compatibles con un teratoma (Ver figura 1). Se complementó abordaje con tomografía de torax contrastada, que no mostró evidencia de enfermedad diseminada.

La determinación de alfa feto proteína (AFP) de 1.52 ng / ml y gonadotropina coriónica humana β < 0.1 mUI / ml, se encontraban dentro de parámetros normales.

Por lo anterior, se realizó laparotomía exploradora mediante incisión transversa supraumbilical, al ingresar a cavidad se identificó tumoración irregular, lobulada, lisa, blanda, de aproximadamente 12 x 7 x 6 cm con multiples adherencias adyacente a la glándula suprarrenal derecha sin involucrarla y también hacia estructuras adyacentes, (Ver figura 2) se logró resecar la tumoración por completo sin complicaciones (Ver figura 3).

Con una evolución posoperatoria sin incidentes, fue egresada a los 5 días, con seguimiento en la consulta externa. El análisis histopatológico concluyó que se trataba de un teratoma maduro.


Figura 1. Corte coronal en tomografía computada.

Corte coronal en tomografía computada de abdomen con contraste intravenoso que muestra una tumoración en topografía suprarrenal derecha, heterogénea, con areas de densidad de tejidos blandos y quísticos, así como calcificaciones, que desplazan estructuras adyacentes.


Discusión

La presentación del teratoma maduro puede ser en cualquier edad, sin embargo, la presentación clásica, tiene una incidencia bimodal, a los 6 meses y en la adolescencia. Estudios refieren que hasta el 78 % de los casos se diagnostican antes del primer año (5,6,8). En el caso presentado la paciente tenía 4 años. Tal como en este caso, se ha descrito que los teratomas son más frecuentes en el género femenino, con una relación 2:1 e incluso mayor (1,5,10,11).

Alguno autores no reportan predominio respecto al hemicuerpo afectado, otros describen cierta tendencia hacia el lado izquierdo (5,6,10), en este caso se encontraba del lado derecho.

Los síntomas de presentación son principalmente una masa intra abdominal palpable y distensión abdominal, también describen dolor abdominal, náuseas y vomitos debido a la compresión tumoral (5,6,8,10,12).

Los TRP pueden expresar marcadores tumorales como AFP, antígeno carcinoembrionario y CA 19-9 (1). En este caso, la AFP se encontraba en parámetros normales.

El estudio solicitado habitualmente por el médico de primer contacto es el ultrasonido, que permite distinguir entre componentes quísticos o sólidos, sin embargo, la tomografía o resonancia magnética son más útiles, en el sentido de que describen con mayor precisión la extensión de la lesión y su relación con las estructuras adyacentes, algo que es de gran ayuda para la planeación quirúrgica (1,5,9,10). Las calcificaciones y el desplazamiento de estructuras circundantes son hallazgos que se han descrito con frecuencia en teratomas benignos. Por otra parte, areas de hemorragia o necrosis en una masa sólida, así como la invasión a estructuras adyacentes son datos que sugieren malignidad (10,13). En nuestro caso, estaban presentes calcificaciones y desplazamiento de estructuras adyacentes. Los TRP son generalmente grandes masas que hasta en el 60 % miden ≥ 10 cm (5,8,10) en este caso medía 12 x 7 x 6 cm.

El abordaje quirúrgico realizado fue una incisión transversa supraumbilical, como lo reportado en la literatura (5,10), posteriormente se realizó la resección quirúrgica completa de la lesión, lo cual es el pilar del tratamiento de un TRP (5,6,8,10). Aunque se han reportado una gran variedad de complicaciones debido a la estrecha relación con estructuras vecinas como glándulas adrenales, riñones, vía biliar, entre otros, (5,6,10) en este caso, no se presentó complicación alguna, ya que se encontró un plano de separación como lo evidenció la TAC preoperatoria.

Al tratarse de un teratoma maduro con base en el reporte histopatológico, su seguimiento no es tan estrecho debido a que el riesgo de recurrencia no es frecuente en comparación con los teratomas inmaduros (8,10,14) y dentro de estos, los de alto grado son los mayormente implicados (5).


Figura 2. Imagen transoperatoria de la tumoración en topografía suprarrenal derecha.


Figura 3. Tumor resecado.


Conclusiones

En el estudio de una masa abdominal intraabdominal palpable y dolor abdominal, se debe tener en mente un teratoma, que, a pesar de ser un padecimiento poco frecuente ,sobre todo fuera del rango de presentación bimodal, exista la posibilidad y debe abordarse de manera oportuna.


Conflicto de interés

Los autores declaran no tener algún conflicto de interés.


Referencias / Bibliografía

1. Haddad S El, Hessissen L, Kababri M El, et al. Primary mature adrenal teratoma in infant. Pan Afr Med J. 2020;37(27):1–6.

2. Barksdale EM, Obokhare I. Teratomas in infants and children. Curr Opin Pediatr. 2009;21(3):344–9.

3. Zhou L, Pan X, He T, et al. Primary adrenal teratoma: A case series and review of the literature. Mol Clin Oncol. 2018;9(4):437.

4. Tainaka T, Ono Y, Yamada Y, Mutoh D, Uchida H. Large retroperitoneal immature teratoma leading to renovascular hypertension. Pediatr Int. 2016;58(12):1363–4.

5. Liu Y, Hao X, Lu H, Duan Y, Dong Q, Qiao L. Factors Associated With Perioperative Complications in the Treatment of Pediatric Retroperitoneal Teratoma. J Surg Res. 2021 Mar 1;259:458–64.

6. Yang T, Li H, Li J, et al. Surgical risk factors of retroperitoneal teratoma resection in children. J Pediatr Surg. 2019;54(7):1495– 9.

7. Sasi W, Ricchetti GA, Parvanta L, Carpenter R. Giant Mature Primary Retroperitoneal Teratoma in a Young Adult: Report of a Rare Case and Literature Review. Case Rep Surg. 2014;2014:1– 5.

8. Qureshi SS, Kammar P, Kembhavi S. Excision of retroperitoneal germ cell tumor in children: A distinct surgical challenge. J Pediatr Surg. 2017;52(8):1344–7.

9. Peterson CM, Buckley C, Holley S, Menias CO. Teratomas: A Multimodality Review. Curr Probl Diagn Radiol. 2012;41(6):210– 9.

10. Kawano T, Sugita K, Kedoin C, et al. Retroperitoneal teratomas in children: a single institution experience. Surg Today. 202;1:1– 7.

11. Khaleghnejad-Tabari A, Mirshemirani A, Rouzrokh M, Mohajerzadeh L, Khaleghnejad-Tabari N, Hasas-Yeganeh S. Pediatric Germ Cell Tumors; A 10-year Experience. Iran J Pediatr. 2014;24(4):441.

12. Singh C, Raypattanaik NM, Sharma I, Kaman L. Primary Retroperitoneal Teratoma in a Young Male: A Case Report. Cureus. 2021;13(6).

13. Xu Y, Wang J, Peng Y, Zeng J. CT characteristics of primary retroperitoneal neoplasms in children. Eur J Radiol. 2010;75(3):321–8.

14. Ghritlaharey RK. Mature Teratoma at Left Lumbar Region in an Infant: A Case Report. J Clin Diagn Res. 2016;10(12):PD22.