Pediatría
ISSN impreso:0120-4912
e-ISSN:2444-9369
DOI:
10.14295/rp.v55i3.334

Reporte de caso


Edema pulmonar de las alturas en paciente pediátrico. Reporte de caso


High altitude pulmonary edema. Case report



Edwin Nicolas Ortegón Candelaa, María Estefanía Peña Giraldoa, Octavio Castellanos Bohórquezb.

a. Estudiante de sexto año de medicina Fundación Universitaria Juan N. Corpas. Bogotá.
b. Médico pediatra del E.S.E Hospital regional de Chiquinquirá.

Recibido 3 de noviembre de 2021 Aceptado 7 de septiembre de 2022

Como Citar: Ortegón Candela EN, Peña Giraldo ME, Castellanos Bohórquez O. Edema pulmonar de las alturas en paciente pediátrico. Reporte de caso. Pediatr. 2022;55(3): 159-163.

Autor para correspondencia: Edwin Nicolas Ortegón Candela
Correo electrónico: edwin-ortegon@juanncorpas.edu.co


Editor Jefe: Fernando Suárez-Obando



Resumen

Antecedentes: El edema pulmonar de las alturas se caracteriza por la aparición de edema pulmonar en individuos sanos que se desplazan a lugares por encima de los 2 500 metros sobre el nivel del mar. Reporte de caso: se presenta un paciente de trece años que ingresa al servicio de urgencias por cuadro clínico consistente en la aparición súbita de dificultad respiratoria de asociado a un único episodio emético y dolor torácico. Se decidió tomar laboratorios paraclínicos y radiografía de tórax al ingreso donde se encontraron múltiples hallazgos relacionados con el mal de altura y edema pulmonar secundario. Se dio manejo diurético intravenoso y oxígeno suplementario a bajo flujo. Paciente quien presentó resolución de la enfermedad en dos días de tratamiento, evidenciados en control radiográfico y clínico. Conclusiones: Dada la noxa epidemiológica actual de Sars-Cov-2 y el patrón radiográfico que puede confundirse con tipos de neumonías atípicas, es importante reconocer no solamente imagenológicamente sino clínicamente este tipo de pacientes, la importancia de un manejo adecuado de control de líquidos administrados y eliminados y sus posibles complicaciones.

Palabras clave: Edema pulmonar, mal de altura, pediatría


Abstract

Background: High-altitude pulmonary edema is characterized by the development of pulmonary edema in healthy individuals moving to places above 2 500 meters above sea level. Case report: a thirteen-year-old patient is presented. He was admitted to the emergency department due to a clinical picture of the sudden onset of respiratory distress associated with a single emetic episode and chest pain. It was decided to take paraclinical laboratories and a chest X-ray on admission, where multiple findings related to altitude sickness and secondary pulmonary edema were found. Intravenous diuretic management and low-flow supplemental oxygen were given. The patient presented disease resolution after two days of treatment, evidenced in radiographic and clinical control. Conclusions: Given the current epidemiological alert of Sars-Cov-2 and the radiographic pattern that can be confused with types of atypical pneumonia, it is essential to recognize not only this type of patient but also the importance of proper fluid management administered and their complications.

Key words: Pulmonary edema, altitude sickness, pediatrics




Introducción

El edema pulmonar de las alturas (EPA) se caracteriza por la aparición de edema pulmonar en individuos sanos que se desplazan a lugares o ciudades que se encuentran por encima de los 2.500 metros sobre el nivel del mar (m s. n. m) (1-2), que, aunque se pueda presentar en cualquier grupo etario, ciertos factores anatómicos predisponen a la enfermedad en los pacientes pediátricos (3). La incidencia mundial varía según las series, desde un 0.1 % a un 31 %, sin embargo, a nivel de los andes latinoamericanos se desconocen los datos epidemiológicos.

Es una enfermedad muy poco documentada, por el desconocimiento de la incidencia en la edad más común de presentación, que abarca de los 2 a los 20 años (5), por lo que se hace necesario dar a conocer las características clínicas, la realización del diagnóstico, sus diferenciales e identificación de imágenes diagnósticas para el adecuado manejo de este tipo de enfermedad que en ocasiones puede llegar a confundirse con diagnóstico semejantes como la neumonía atípica o la silicosis.


Reporte de Caso

Paciente de trece años, natural y procedente del municipio de Chiquinquirá (Boyacá), el cual en el último mes había viajado a la ciudad de Villavicencio para visitar a su madre. El paciente realiza un recorrido en vehículo de aproximadamente siete horas, refiere que el viaje transcurrió con total normalidad y llegó tarde en la noche a su destino. En la madrugada del día siguiente el paciente presenta un cuadro respiratorio agudo consistente en tos seca sin cianosis, con episodio emético único asociado a la aparición de malestar torácico de tipo opresivo que se exacerba con la inspiración. Por la sintomatología descrita, decide asistir al servicio de urgencias del hospital regional.

Al ingreso se revisaron los antecedentes del paciente. Se indagó que el paciente había nacido a través de parto por cesárea por trabajo de parto estacionario. Nació con adecuado peso y talla para la edad gestacional. Adicionalmente el carné del programa ampliado de inmunizaciones (PAI) estaba completo para la edad. El paciente no había requerido hospitalizaciones ni intervenciones previas al cuadro clínico actual.

Durante el examen físico se encontró la presencia de roncus pulmonares difusos de manera generalizada, con estertores en ápices pulmonares. El resto del examen físico general se encontraba dentro de los parámetros normales.

En el servicio de urgencias se decidió realizar paraclínicos de extensión en los cuales se encontró leucocitosis de 14 490, con moderada linfopenia de 1 150 y monocitosis de 1 410. El resto del cuadro hemático estaba dentro valores normales. Se realizó dímero D, el cual tuvo un valor levemente aumentado. El perfil hepático y renal no tenía alteraciones, la troponina ultrasensible fue negativa. Los marcadores de severidad (deshidrogenasa láctica, LDH y proteína C reactiva, PCR) estaban marcadamente elevados.

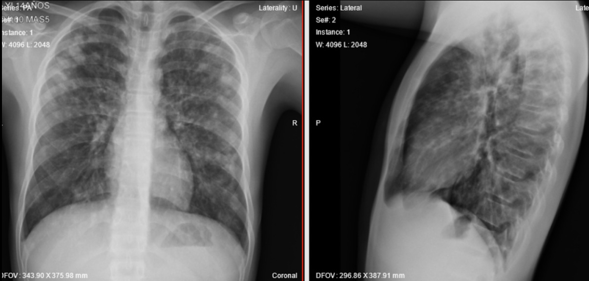
Dado el cuadro respiratorio agudo y signos de dificultad respiratoria, se decidió iniciar manejo con oxígeno suplementario a bajo flujo con una fracción inspirada de oxigena aproximada del 24 %, los gases arteriales presentaron: pH =7.46; pCO2 = 26.4 mm Hg, PO2 = 53 mm Hg, HCO3 19.1 mEq/l; base exceso (BE) = -5 mEq/L, lactato en 1.72 mmol/L, con relación entre la presión arterial de oxígeno y la fracción inspirada de oxígeno (PAFI) de 220. Teniendo en cuenta la altura a la que se encuentra el municipio de Chiquinquirá se consideró una hipoxemia no respondiente a terapéutica, con trastorno de la oxigenación leve asociada a trastorno ácido base tipo alcalemia respiratoria con hiperlactatemia. El gradiente alveolo capilar se encontraba aumentado para lo esperado. En la radiografía de tórax de ingreso se evidenciaron múltiples infiltrados generalizados con opacidades algodonosas diseminadas en ambos campos pulmonares sugestivas de edema pulmonar (Ver figura 1). No se encontraron signos de derrame pleural ni de patologías asociadas.

El diagnóstico de esta enfermedad presentó un reto debido a sus diagnósticos diferenciales, principalmente asociados a la noxa epidemiológica actual relacionada con el COVID-19 y neumonías por gérmenes atípicos que se presentan con un patrón radiográfico similar, sin embargo, fueron descartados por el antecedente reciente de viaje y la instauración aguda de la enfermedad. Posteriormente se pudo reconfirmar el diagnóstico por la evolución clínica y radiológica del paciente.

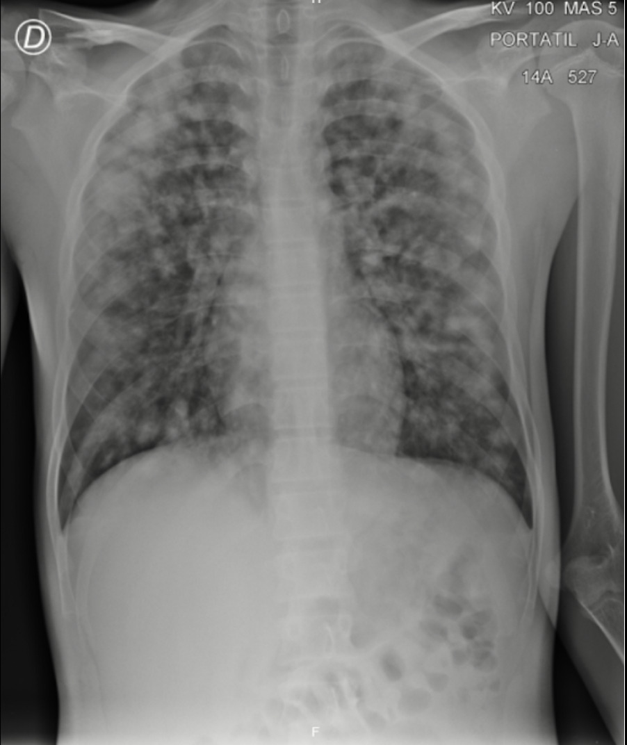
En un principio, en el servicio de urgencias, se inició administración de oxígeno suplementario a bajo flujo a través de cánula nasal a 1 l/min, y líquidos endovenosos con lactato de Ringer para administración aproximada de 60 cm3 cada hora y tres inhalaciones de salbutamol. Después de la valoración por el servicio de Pediatría y el diagnóstico de EPA se suspendió la administración de líquidos endovenosos e iniciar furosemida a 20 miligramos por vía intravenosa, cada 12 horas, durante los 3 días de hospitalización del paciente. Se realizó el seguimiento de respuesta medicamentosa con la clínica del paciente y radiografía de tórax diaria (Ver figura 2). La cronología del caso se describe en la tabla 1.


Figura 1. Exploración radiológica inicial.


Figura 2. Exploración radiológica tras un día de intervención.


Tabla 1. Cronología de evolución clínica.

Dia

Evolución

11 de agosto de 2021

Ingresa el paciente al Servicio de Urgencias del hospital refiriendo dificultad respiratoria asociada a un único episodio emetizante sin otra sintomatología relacionada. En un principio el médico de urgencias decide realizar paraclínicos para evaluar compromiso sistémico de respuesta inflamatoria y tomar radiografía de tórax portátil debido a la epidemiología reciente relacionada con Sars-Cov-2 y los protocolos institucionales. Una vez se encuentran disponibles los resultados se solicita valoración por el Servicio de Pediatría quienes definen por cuadro clínico de aparición aguda, hallazgos radiográficos paciente cursa con edema pulmonar de las alturas por lo cual se decide iniciar manejo médico con dosis ajustadas al paciente en habitación unipersonal.

12 de agosto de 2021

Se valora al paciente nuevamente quien refiere mejoría en síntomas respiratorios, sin nuevos episodios eméticos. Durante el día se solicita nueva radiografía de tórax anteroposterior y lateral para evaluar evolución clínica donde se evidencia notable disminución de infiltrados algodonosos generalizados por lo que se decide continuar con el manejo médico instaurado y estricta vigilancia respiratoria.

13 de agosto de 2021

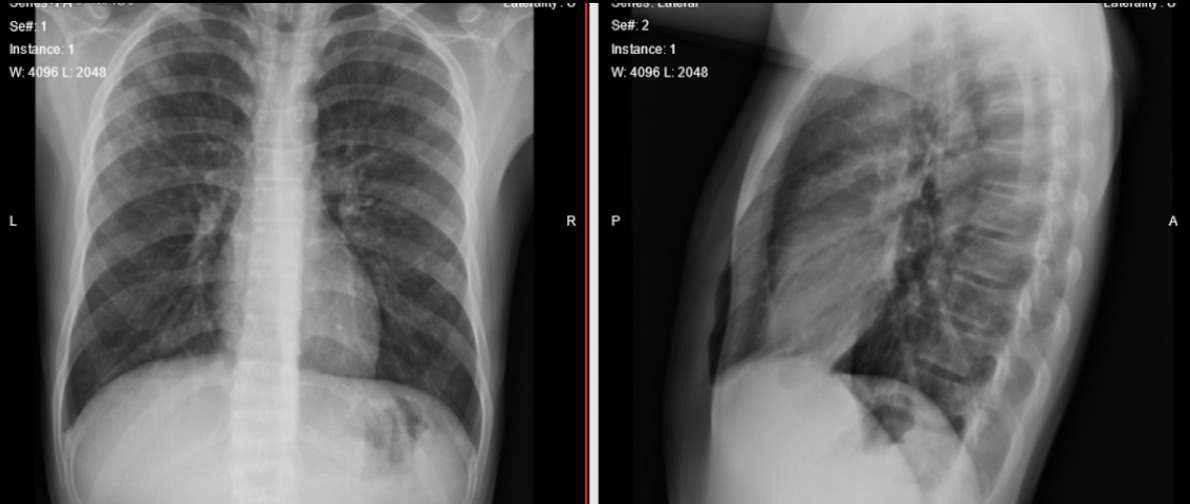
El paciente refiere adecuada evolución clínica por lo que se decidió iniciar pasó de respiración asistida con cánula nasal a bajo flujo a respiración espontánea sin dispositivo, la cual fue adecuadamente tolerada por el paciente y se solicitó nueva radiografía de tórax anteroposterior y lateral donde se evidencio normalidad por lo que se decidió dar egreso hospitalario al paciente con signos de alarma, recomendaciones, consulta de control y formula médica. Paciente y familiares refirieron estar de acuerdo


Discusión

El EPA se caracteriza por la aparición de edema pulmonar en individuos sanos que se desplazan a lugares o ciudades que se encuentran por encima de los 2 500 m s.n.m (1-2). Se pueda presentar en cualquier grupo etario, sin embargo, ciertos factores anatómicos predisponen a la enfermedad en pacientes pediátricos (3). Se suele asociar en mayor proporción a la aparición de EPA en paciente residentes a grandes alturas cuando regresan luego de haber permanecido un período prolongado (generalmente mayor a dos semanas) en territorios con baja altura.

En un estudio observacional descriptivo realizado en la ciudad de Bogotá, D.C. sobre la observación y documentación de 36 casos de EPA en pacientes pediátricos posterior a un ascenso desde bajas alturas, e se concluyó una incidencia mayor en el sexo masculino entre las edades de 4 a 15 años, con un promedio de aparición de los síntomas de EPA de 12.6 horas luego del regresar a una gran altura (4).

La incidencia mundial varía según las series reportadas, iniciando desde un 0.1 % hasta un 31 % de casos, sin embargo, a nivel de los andes latinoamericanos se desconocen los datos epidemiológicos. Es una enfermedad muy poco documentada por el desconocimiento de la incidencia en la edad más común de presentación que abarca de los 2 a los 20 años (5).

Generalmente la aparición del cuadro ocurre entre 24 a 48 horas después de la llegada al territorio de mayor altura, con aparición de múltiples síntomas que pueden variar según la severidad. Como síntomas característicos se reconocen la disnea progresiva y la tos seca, que se puede convertir en tos húmeda con expectoración, dolor torácico, fiebre y la aparición de estertores crepitantes a la auscultación pulmonar (6).

El mecanismo fisiopatológico subyacente a esta enfermedad tiene que ver principalmente con la hipoxia hipobárica donde la presión parcial de oxígeno (PO2) es la fuerza que impulsa el inicio de la cascada del oxígeno. El oxígeno se mueve desde el aire inspirado hacia el espacio alveolar a través de las vías respiratorias y luego se difunde por los alvéolos hacia la sangre, donde se transporta unido a la hemoglobina. A nivel de los capilares, el oxígeno se difundirá a través de las paredes vasculares, de tejidos hacia las células y finalmente a la mitocondria.

La presión barométrica (PB) y la oxigenación disminuyen de forma curvilínea al aumentar la altitud, sin embargo, otros factores como la temperatura más baja, la latitud más alta, las inclemencias del tiempo y el invierno, pueden hacer que la PB disminuya, sin embargo, no son factores tan significativos como la altitud (7-8). A nivel del mar existe un gradiente de presión de oxígeno entre el aire inspirado y el tejido, sin embargo, a medida que disminuye la presión barométrica, también lo hace el oxígeno disponible, por lo que, en altitudes elevadas, especialmente cuando las demandas de oxígeno tisular son elevadas por actividades deportivas o laborales, la marcada reducción del gradiente de presión y oxígeno disponible, pueden generar hipoxia tisular, conocida como hipoxia hipobárica y representa la causa principal de la enfermedad de las alturas.

Esta hipoxia hipobárica provocará una ruptura de la barrera sangre — gas a nivel pulmonar lo que producirá la acumulación anormal de plasma y algunos glóbulos rojos en los alveolos pulmonares, producido principalmente por respuestas desadaptativas a la hipoxia donde se incluyen: 1) respuesta ventilatoria deficiente, 2) tono simpático aumentado, 3) vasoconstricción pulmonar exagerada y desigual (hipertensión pulmonar) 4) producción inadecuada de óxido nítrico endotelial y ) producción excesiva de endotelina y alveolar. Estos factores producen acumulación irregular de líquido extravascular en los espacios alveolares que altera el intercambio de gases y puede, en algunos casos resultar fatal (7,8,9). Por lo anterior se deduce que el evento iniciador sería una presión arterial pulmonar alta (superior a 35 mm Hg), sin embargo, por sí misma es insuficiente para la aparición de EPA, por lo que el otro factor igualmente de esencial para la aparición de esta entidad es la vasoconstricción desigual.

Los lechos capilares segmentarios y sub-segmentarios con una vasoconstricción relativamente menor, están expuestos de manera desproporcionada a presiones microvasculares elevadas (mayores a 20 mm Hg) las cuales surgen de la presión pulmonar media elevada, por lo que esta vasoconstricción desigual y la sobre perfusión regional, dan como resultado el fallo de la barrera alveolo capilar y la aparición del edema pulmonar irregular (10).

En los niños, la EPA se presenta como un aumento de la dificultad respiratoria durante uno o dos días, pero como en este caso, puede desarrollarse de manera precipitada. Los niños más pequeños pueden manifestar únicamente palidez o cianosis con afección del nivel de consciencia, sin embargo, la gran mayoría va a presentar taquipnea, hipoxemia y crépitos pulmonares (11). Es importante tener en cuenta el diagnóstico diferencial de este cuadro clínico, por lo que se hace importante mencionar que el EPA no provoca aumento de la temperatura, por lo que lo hace un signo indispensable al momento de realizar el diagnóstico, al igual que como ya se mencionó el periodo de aparición es agudo, al igual que los antecedentes inmunológicos del paciente, por lo que el diagnóstico debe ser individualizado (Ver figura 3).


Figura 3. Exploración radiológica al finalizar el manejo.


Conclusión

El EPA es una entidad manifiesta por la aparición de edema pulmonar en individuos sanos que se desplazan a lugares o ciudades que se encuentran por encima de los 2.500 m s.n.m que suele ocurrir en paciente residentes a grandes alturas cuando regresan luego de haber permanecido un período prolongado (generalmente mayor a dos semanas) en territorios con baja altura y adicionalmente aunque se pueda presentar en cualquier grupo etario ciertos factores anatómicos predisponen aún más a la enfermedad los pacientes pediátricos. El tratamiento se basa principalmente en la administración de oxígeno suplementario a bajo flujo y en algunos casos (como el reportado en este caso) los diuréticos son de gran ayuda. El diagnóstico debe ser individualizado de acuerdo con el tiempo de evolución del cuadro clínico y las características clínicas adicionales como la aparición o no de fiebre. El cuadro suele resolver tras la intervención durante uno o dos días de manejo y se recomienda realizar seguimiento a través de la radiografía de tórax de acuerdo con la sintomatología del paciente.


Agradecimientos

Se agradece al paciente y su representante legal por permitir el estudio y documentación del caso clínico en conjunto con el hospital regional de Chiquinquirá por permitir el tratamiento de datos. Se le informó al paciente los puntos relevantes sobre su caso para la literatura médica, las características del reporte de caso médico por lo que se autorizó el uso de la información y las imágenes que acompañan este caso clínico para su desarrollo y publicación a través de consentimiento informado firmado por su acudiente.


Referencias

1. Bärtsch P, Maggiorini M, Mairbäurl H, Vock P, and Swenson E. Pulmonary extravascular fluid accumulation in climbers (Letter). Lancet. 2002;360(9332):571.

2. García E, Contreras E , Zuluaga S. Edema pulmonar de las alturas: reporte de un caso clínico. Revista colombiana de neumología. 2006;18(4):154–156.

3. Guadalupe L , Sandoval M, Rocha J,Ovseyevitz J. Edema pulmonar de las alturas: una urgencia en pediatría. Anales médicos. 2016;61(1):58–62.

4. Ucrós S, Dueñas E, Llano G, Posada E, Triana G, Navas C. Edema pulmonar de alturas en la ciudad de Bogotá. Departamentos de pediatría y radiología Fundación Santa fe de Bogotá. Pediatría. 2002;37(1).

5. Riaño L, Figueredo R, Vásquez-hoyos P. Edema pulmonar de altura por re-ascenso en pacientes pediátricos. Andes pediatr. 2021;92(2):257-262.

6. Romos E, Guevara Y, Idrovo R, Vele V. Edema pulmonar de altura. Reporte de un caso y revisión de la literatura. Rev. Finlay. 2018;8(1):80-84.

7. Shah N, Hussain S, Cooke M, O’Hara J, Mellor A. Wilderness medicine at high altitude: recent developments in the field. J sports med. 2015;6:319–328.

8. Scott A Gallagher, Peter Hackett, Jonathan M Rosen, High altitude illness: Physiology, risk factors, and general prevention. UpToDate, Waltham, MA. (accedido el 30 de octubre de 2021). Disponible en: https://www.uptodate.com/contents/high-altitude-illnessphysiology-risk-factors-and-general-prevention.

9. Hackett PH, Luks, AM, et al. High-altitude medicine and pathophysiology. In: Wilderness Medicine, 7th ed, Auerbach PS (Ed), Elsevier, Philadelphia 2016. p.8.

10. Swenson, E. R., & Bärtsch, P. High-altitude pulmonary edema. Comprehensive Physiology. 2012;2(4):2753–2773.

11. Galager S. High-altitude pulmonary edema. 2021 (accedido el 2 noviembre 2021). Disponible en: https://www.uptodate.com/contents/high-altitude-pulmonary-edema.