Pediatría
ISSN impreso:0120-4912
e-ISSN:2444-9369
DOI:
10.14295/rp.v55i4.333

Reporte de caso


Osteosarcoma multicéntrico sincrónico en paciente pediátrico de 15 años. Reporte de un caso


Synchronous multicentric osteosarcoma in a 15-year-old pediatric patient: case report



Gabriel J David-Taruda, Luisa F Atunes-Ortegab, Katiuska R Molina-Pachecoc, Tufith A Atunes-Celedóndd.

a. Hematólogo-oncólogo pediatra. Instituto nacional de cancerología. Clínica de la Costa. Barranquilla, Colombia.
b. Médico General. Universidad libre de Barranquilla. Centro de Investigación Clínica de la Costa. Barranquilla. Colombia.
c. Médico General. Universidad Metropolitana de Barranquilla. Servicio de hemato-oncológia pediátrica Clínica de la Costa. Barranquilla, Colombia.
d. Médico Cirujano. Universidad Metropolitana de Barranquilla. Director de Cirugía Hospital Julio Méndez Barreneche. Santa Marta, Colombia.

Recibido 03 de noviembre de 2021 Aceptado 09 de diciembre de 2022

Como Citar: David-Tarud GJ, Atunes-Ortega LF, Molina-Pacheco KR, Atunes-Celedón TA. Osteosarcoma multicéntrico sincrónico en paciente pediátrico de 15 años. Reporte de un caso. Pediatr. 2022;55(3): 215-221.

Autor para correspondencia: Luisa F Atunes Ortega
Correo electrónico: luortg.08@gmail.com


Editor jefe: Fernando Suárez-Obando



Resumen

Antecedentes: el cáncer en la población pediátrica se encuentra entre el 2 al 3 % de todos los tumores malignos. Los tumores más frecuentes en los niños son las leucemias (30 %), tumores cerebrales (20 %) y linfomas (15 %). Los tumores óseos representan el 6 % de las neoplasias en los niños, de estos, el osteosarcoma constituye el 55 % de los casos, con un pico de incidencia a los 15 años. Esta neoplasia tiene un comportamiento agresivo con metástasis del 15 % aproximadamente al momento del diagnóstico, siendo el lugar más frecuente los pulmones seguidos de hueso, ganglios, hígado y cerebro. Cuando al diagnóstico se evidencia más de una lesión ósea sin metástasis visceral se adiciona el termino de multicéntrico y sincrónico; esta entidad es de rara aparición con un reporte de menos de 100 casos en la literatura. Reporte de caso: en el siguiente caso presentamos un paciente de 15 años con un dolor incapacitante en miembro inferior izquierdo e imágenes sugestivas de neoplasia ósea multicéntrica sincrónica y biopsia que concluye osteosarcoma de variante condrogénica. Conclusión: el paciente recibió tratamiento oncológico paliativo y presentó posterior aparición de metástasis pulmonar. Esta variante del osteosarcoma es sumamente agresiva con muy mal pronóstico.

Palabras clave: Osteosarcoma, Osteosarcoma multicéntrico sincrónico, tumor maligno óseo, pediatría.


Abstract

Background: Cancer in the pediatric population is between 2 to 3 % of all malignant tumors. The most frequent tumors in children are leukemias (30 %), brain tumors (20 %), and lymphomas (15 %). Bone tumors represent 6% of neoplasms in children; osteosarcoma constitutes 55 % of cases, with a peak incidence at 15 years. This neoplasia has an aggressive behavior with metastasis of approximately 15 % at the time of diagnosis, the lungs being the most frequent site followed by bone, lymph nodes, liver, and brain. When the diagnosis shows more than one bone lesion without visceral metastasis, the term multicentric and synchronous is added; this entity is of rare appearance, with a report of fewer than 100 cases in the literature. Case report: In the following case, we present a 15-year-old patient with disabling pain in the left lower limb and images suggestive of synchronous multicentric bone neoplasm and biopsy that concluded chondrogenic variant osteosarcoma. Conclusion: The patient received palliative cancer treatment and later presented pulmonary metastasis. This variant of osteosarcoma is extremely aggressive with a very poor prognosis.

Key words: Osteosarcoma, synchronous multicentric osteosarcoma, malignant tumor bone, pediatric.




Introducción

Los tumores óseos son infrecuentes, teniendo mayor incidencia en la edad pediátrica; constituyendo el 6 % de los tumores malignos en niños y adolescentes (1), representan el 56 % de las neoplasias óseas, en la edad adulta existe mayor predisposición en la quinta década de la vida. Estos tumores se caracterizan por la producción de tejido óseo inmaduro por parte de las células malignas, sus síntomas son inespecíficos; entre los más frecuentes hallamos el dolor en el sitio del tumor, la presencia de masa en partes blandas, limitación a la movilidad y en ocasiones puede ser una manifestación accidental la fractura patológica. El 30 al 40 % de los casos presentan metástasis en la evolución de la enfermedad (5).

Es importante definir cuando se presenta una sola lesión primaria, se designa con el nombre de unicéntrico, en cambio si aparecen al diagnóstico dos o más sitios óseos se determina como multicéntrico. Esta última variante es muy infrecuente y clasifica en sincrónico cuando las lesiones se presentan de manera simultánea (en dos o más huesos) y sin presencia de metástasis al diagnóstico; esta definición de términos multicéntrico y sincrónico continúa teniendo gran controversia por el papel fundamental que ha constituido la metástasis en el desarrollo de esta patología (12,15); otra variante es el osteosarcoma multicéntrico metacrónico el cual se define como la presencia de lesiones que surgen independientemente pero en tiempos diferentes.

El osteosarcoma multicéntrico sincrónico tiene por predilección su desarrollo en la medula metafisaria, con un pico de incidencia entre los 13 y los 16 años, asociado con el crecimiento puberal, con mayor presentación en varones e infrecuente en población caucásica (1). En este caso se refiere a un adolescente con diagnóstico de osteosarcoma multicéntrico sincrónico y metástasis pulmonar durante su evolución y tratamiento. Se realiza además una concisa revisión de la literatura.


Reporte de caso

Adolescente masculino de 15 años, sin antecedentes de importancia, quien consulta por cuadro clínico de dos meses de evolución caracterizado por dolor en rodilla izquierda asociado a edema, hipertermia y limitación a la movilidad del miembro inferior izquierdo posterior a trauma en bicicleta. Recibió manejo analgésico sin mejoría y en centro remisor realizan radiografía de rodilla izquierda con alteraciones en el fémur distal ipsilateral y con posterior remisión a centro de alta complejidad.

Al examen físico de ingreso destaca edema y dolor en tercio distal del muslo izquierdo asociado a limitación de la marcha, resto del examen físico normal. Paraclínicos de ingreso con hemograma y química sanguínea dentro de parámetros normales (LDH: 299 U/L y fosfatasa alcalina: 145 U/L).

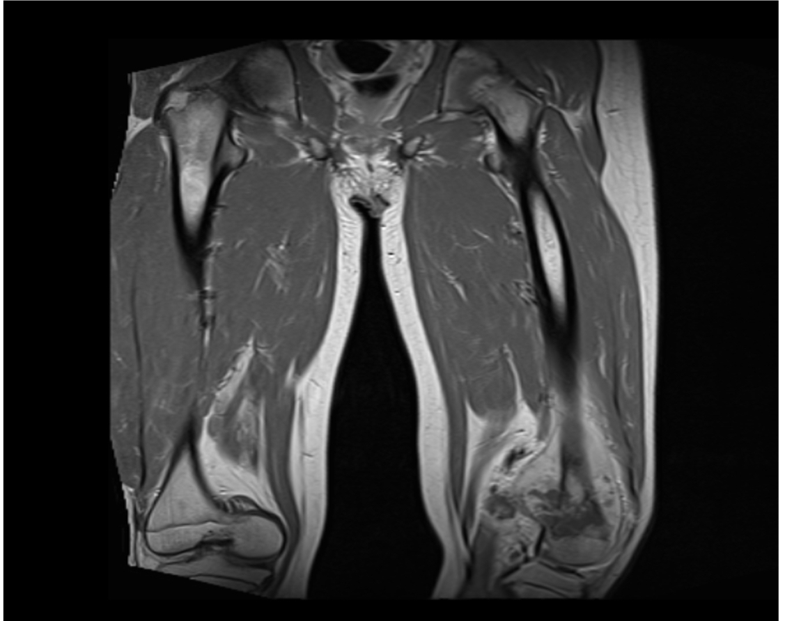
En la radiografía de miembro inferior izquierdo (MII) se aprecia disminución del espacio femorotibial interno con reacción perióstica cortical anterior en tercio distal del fémur y triangulo de Codman (Ver figura 1). En la resonancia magnética nuclear (RMN) de MII con contraste, se observa una lesión de aspecto tumoral a nivel distal del fémur y compromiso del núcleo de crecimiento medial e hidroartrosis (Ver Figura 2). En la gammagrafía ósea se aprecian lesiones blásticas hipercaptantes en diáfisis proximal de humero derecho, espina iliaca anteroinferior, fémur en su diáfisis distal, rotula y tibia izquierda (Ver figura 3). La tomografía axial computarizada (TAC) de tórax y abdomen contrastado fue reportada como normal. El ecocardiograma doppler también fue reportado como normal.

El servicio de ortopedia oncológica realizó hemidiafisectomia y osteotomía de fémur con biopsia de hueso, teniendo como resultado del hallazgo quirúrgico, tejido con apariencia fibrinoide blanquecina no purulenta.

El servicio de patología informa tumor condrogénico y osteogénico de fémur distal izquierdo; la inmunohistoquímica presenta positividad para CD99 y vimentina, expresión tenue de CK1/3, positivo para SATB2 y negativo para S100 y actina, con un KI 67 del 80 % indicando un tumor muy agresivo. Se confirma así el diagnóstico de osteosarcoma convencional de variante condrogénica.

El servicio de hematoncología pediátrica valoró al paciente con diagnóstico de osteosarcoma multicéntrico sincrónico, con muy mal pronóstico de sobrevida basados en reportes de la literatura por la imposibilidad de un control local adecuado y por la agresividad de esta patología, la cual rápidamente evoluciona a metástasis pulmonar y muerte. Por lo anterior se le explicó al padre y se inicia quimioterapia paliativa con doxorrubicina, ifosfamida y cisplatino cada 21 días por 5 ciclos. Posterior al segundo ciclo hay control del dolor sin requerimiento de morfina y ni tramadol. Posteriormente presenta dolor en región poplítea confirmando con doppler arteriovenoso la presencia de trombosis venosa profunda segmentaria de la vena femoral superficial y poplítea izquierda, por lo cual se inicia manejo con enoxaparina y mejoría del dolor.

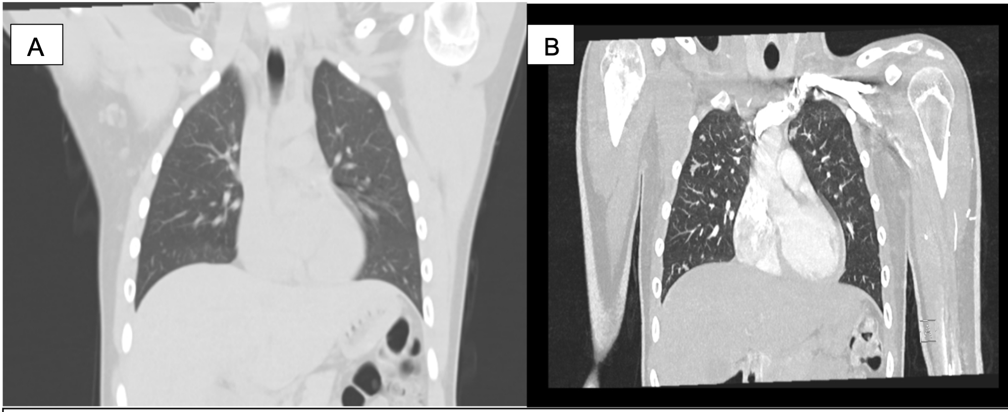
Posterior al quinto ciclo de quimioterapia se encuentra paciente estable sin dolor y se hace evaluación con imágenes RNM que reporta metástasis pulmonar (Ver figura 4), en la gammagrafía ósea (Ver figura 5) sin nuevas lesiones hipercaptantes y TAC de tórax (Ver figura 6) con imágenes nodulares pulmonares bilaterales correspondiente a metástasis pulmonar que no se observan en la evaluación inicial.

A pesar de tratamiento instaurado se evidencio progresión neoplásica y desarrollo de metástasis pulmonar; se habla con el padre y ortopedia oncológica para hacer amputación del miembro inferior izquierdo a nivel del tercio medio del fémur, ya que esta lesión presenta mayor compromiso sintomático y complicaciones trombóticas y así mejorar el tratamiento paliativo. La familia no acepta y renuncia a cualquier tratamiento oncológico.


Figura 1. Radiografía de rodillas comparativas.

A. Reacción perióstica cortical anterior en tercio distal de fémur izquierdo y triangulo de Codman. B. Masa pétrea de gran tamaño en tercio distal izquierdo.


Figura 2. RNM de MIII con contraste.

Lesión de aspecto tumoral a nivel distal del fémur, con compromiso del núcleo de crecimiento medial e hidroartrosis. Figura 3.


Figura 3. Gammagrafía ósea.

Lesiones blásticas con hipercaptación de radiotrazador en diáfisis proximal del húmero derecho, espina iliaca anteroinferior, fémur izquierdo, rotula ipsilateral y tibia izquierda.


Figura 4. RNM de fémur comparativa

Lesión tumoral hiperintensa con calcificación a nivel periostal del fémur de origen infiltrativo y con aumento de partes blandas por proceso neoplásico, compromete el núcleo de crecimiento medial del fémur a nivel periostótico con captación diseminada del material de contraste. Cambio osteopénicos y edema de y tejidos blandos.


Figura 5. Gammagrafía ósea.

Estudio de control con hipercaptación del radioatrazador en, diáfisis proximal de humero derecho, hueso iliaco y acetábulos derechos, además presenta lesiones en fémur izquierdo con área de mayor captación en la diáfisis distal, sin nuevas lesiones en comparación con gammagrafía previa.


Figura 6. TAC de tórax.

A. TAC inicial normal. B. TAC de control con imágenes nodulares pulmonares bilaterales.


Discusión

El osteosarcoma multicéntrico sincrónico es una patología muy infrecuente, con transcendental controversia sobre su origen; se contempla múltiples factores desencadenantes como la desregulación de la diferenciación de las células mesenquimales y genes supresores de tumores, la activación de oncogenes, eventos epigenéticos y la producción de citoquinas (7); además la Enfermedad de Paget asociada en adultos mayores, la exposición previa a radioterapia, quimioterapia y predisposición genética con mutaciones en genes como el RB1 (gen asociado al retinoblastoma hereditario) y TP53 (gen asociado al síndrome de Li-Fraumeni) (2, 9).

El primer reporte de caso fue realizado en 1938 por Silverman, posterior a este se realizaron pocas descripciones de casos dado a la baja prevalencia de esta neoplasia (6). La primera definición de osteosarcoma multicéntrico la otorgó Dahlin’s en 1978, quien precisa esta patología como la presencia simultanea de múltiples lesiones primarias al diagnóstico y posterior presentación de metástasis pulmonar en la fase terminal. Muchos autores han controvertido con este término tratando de definir si las lesiones son de origen multifocal o simplemente metástasis de hueso a hueso; consigo han propuesto que estas son lesiones primarias múltiples si los pulmones están libres de metástasis al momento del diagnóstico (15). En el paciente se identificó más de dos lesiones al momento del diagnóstico en diáfisis proximal de humero derecho, la espina iliaca anteroinferior, la región distal del fémur, rotula y tibia izquierda, sin presencia de metástasis pulmonar; a los seise meses de evolución de la enfermedad se evidencia la aparición de focos metastásicos al nivel pulmonar.

Autores como Enniking y Kegan plantean que la diseminación metastásica se da por la vía del plexo venoso Batson o mediante embolización intraósea a través de sinusoides medulares. Mientras que Hatori considero una posible expansión del osteosarcoma a través del sistema linfático como una probable vía de propagación que conlleva a la metástasis pulmonar, este planteamiento aun amerita de estudios exhaustivos a nivel genético, que permita demostrar la rápida y agresiva diseminación en este tipo de tumores (12, 13).

La clasificación empleada en esta lesión neoplásica es la realizada por Amstutz en 1969 (Ver tabla 1) (12). Consideramos que nuestro paciente cumple con los criterios para tipo I con un mal pronóstico de sobrevida.

El tratamiento actual del osteosarcoma no metastásico y con lesión única que ha mejorado la sobrevida de estos pacientes es quimioterapia preoperatoria o neoadyuvante para evitar las micrometástasis y reducir el volumen del tumor para mejorar el abordaje quirúrgico y ante posibilidades realizar preservación de la extremidad, posteriormente continua con quimioterapia adyuvante. No existen investigaciones que sean concluyentes sobre los resultados de sobrevida y recaídas en pacientes que hayan recibido quimioterapia y cirugía combinadas; los pocos casos reportados evidencian un pronóstico extremadamente pobre a pesar de brindar estas opciones en el tratamiento (6).

Desde el inicio se consideró con este paciente que el tratamiento era paliativo ya no se podía realizar control local de la enfermedad por los múltiples focos presentes; en este caso se optó por el inicio de quimioterapia paliativa con doxorrubicina, ifosfamida y cisplatino como tratamiento, no se pudo evitar la progresión y desarrollo de metástasis pulmonares, se consideró por compromiso y progresión realizar amputación del miembro inferior izquierdo a nivel del tercio medio del fémur, para mejoría de la calidad de vida en estado paliativo donde familiares rechazan toda clase de tratamiento.


Tabla 1. Clasificación para osteosarcoma multicéntrico. (Modificado de Amstutz, 1969)

Tipo I

Lesiones sincrónicas.
Alto grado

Generalmente en niños y adolescentes.

Sobrevida < 6 meses

Tipo II

Lesiones sincrónicas.

Bajo grado y limitadas al esqueleto axial.

Mayor frecuencia en adultos.

Sobrevida 5 meses - 6 años

Tipo III

 

A: presentación temprana

Lesiones metacrónicas.

Afectan los huesos planos y largos.

Mayormente en adultos

Sobrevida 2 años y medio

B: presentación tardía


Conclusión

En conclusión, esta variante del osteosarcoma es sumamente agresiva con muy mal pronostico y aun siendo un gran interrogante y desafío para los especialistas.


Referencias

1. Longhi A, Anna Paioli, Emanuela Palmerini, Marilena Cesari, Massimo E. Abate, Elisabetta Setola, Paolo Spinnato, Davide Donati, Ivar Hompland & Kjetil Boye. Pazopanib in relapsed osteosarcoma patients: report on 15 cases. Acta Oncologica. 2019;(58)1:124-128.

2. Mirabello L, Yeager M, Mai PL, Gastier-Foster JM, Gorlick R, Khanna C, et al. Germline TP53 Variants and Susceptibility to Osteosarcoma. J Natl Cancer Inst. 2015;107(7): djv101.

3. Saeter G, Hoie J, Stenwig AE, Hannisdal E, Solheim P. Systemic relapse of patients with osteogenic sarcoma. Prognostic factors for long term survival. Cancer. 1995;75:1084-1089.

4. Bielack SS, Kempf-Bielack B, Delling G. Prognostic factors in high-grade osteosarcoma of the extremities or trunk: an analysis of 1,702 patients treated on neoadjuvant cooperative osteosarcoma study group protocols.J Clin Oncol. 2002; 20(3):776-90.

5. Badilla C. Osteosarcoma. Revista Médica de Costa Rica y Centroamerica 2014; 71(611).

6. Bustamante J, Arenas-Siles D, Valcarcel-Valdivia S, Salazar-Salazar D, Arangoytia-Arias R, Huapaya-Huertas O. Osteosarcoma multicéntrico sincrónico en paciente pediátrico: reporte de un caso. Acta méd. Perú. 2018 ; 35(2):127-132.

7. De Azevedo JWV, De Medeiros Fernández TAA, Fernández JVJ, De Azevedo JCV, Lanza DCF, Bezerra CM. Biology and pathogenesis of human osteosarcoma. Oncol Lett. 2020;19(2):1099-116.

8. Hameed S, Vijayan S, Naik M, Rao S. Multicentric osteosarcoma. Singapore Med J. 2012;53(10):e214-7.

9. Gerrand C, Athanasou N, Brennan B, Grimer R, Judson I, Morland B. UK guidelines for the management of bone sarcomas. Clin Sarcoma Res. 2016;6(1):7.

10. Pérez-García J, Velasco-Donado O, Roblés-Perez K. Osteosarcoma multicéntrico sincrónico. Un caso en niño de 10 años y revisión de la literatura. Rev Esp Patol. 2020;S11-S15.

11. WHO Classification of tumours Editorial Board. Soft Tissue and Bone Tumours. Lyon (France): International Agency for Research on Cancer. 2020.

12. Rossier-Guillot LA, Tecualt-Gómez R, Amaya-Cepeda R, Barrera-García MI. Osteosarcoma multicéntrico sincrónico con múltiples tumores primarios o enfermedad metastásica: reporte de un caso y revisión de la literatura. Acta Ortop Mex. 2014;28:179-82.

13. Hatori M, Ohtani H, Yamada N, Uzuki M, Kokubun S. Synchronous multifocal osteosarcoma with lymphatic spread in the lung: an autopsy case report. Japanese Journal of Clinical Oncology. 2001;31(11):562-6.

14. David Tarud, G., Ruiz Pérez, O., Sagbini Guerrero, E. & Segura Ramos, S. (2018). Hematología y Oncología Pediátrica. Barranquilla: Editorial Mejoras.

15. Bermúdez-Balbuena V, López-Durán A, Shalkow J, López-Marmolejo A, Isunza-Ramírez A. Osteosarcoma osteoblástico multicéntrico en un preescolar. Informe de caso. Acta Ortopédica Mexicana 2011; 25(4):232-235.