Pediatría
ISSN impreso:0120-4912
e-ISSN:2444-9369
DOI:
10.14295/rp.v55i1.278

Reporte de caso


Cefalea en pediatría: tumor embrionario. Reporte de caso.


Pediatric headache: embryonic tumor. Case report.



José Miguel Suescun-Vargasabcd, Jairo Alejandro Gaitán-Alfonsob, Angélica Leonor Durán-Larab, Mónica Paola Gutierrez-Gaitánabe, Andrea Donoso-Samperd, Javier Yesid Pinzón-Salamancaabcd.

a. Instituto Roosevelt. Bogotá, Colombia.
b. Facultad de Medicina, Universidad de los Andes. Bogotá, DC, Colombia.
c. Facultad de Medicina, Universidad de la Sabana. Chía, Cundinamarca, Colombia.
d. Escuela de Medicina y Ciencias de la Salud, Universidad del Rosario. Bogotá, Colombia.
e. Facultad de Medicina, Universidad del Bosque. Bogotá, Colombia.

Recibido 11 de mayo de 2021 Aceptado 07 de julio de 2022

Como Citar: Suescun-Vargas JM, Gaitán-Alfonso JA, Durán-Lara AL, Gutiérrez-Gaitán MP, Donoso-Samper A, Pinzón-Salamanca JY. Cefalea en pediatría: tumor embrionario. Reporte de caso. Pediatr. 2022;55(1): 40-45.

Autor para correspondencia: Mónica Paola Gutierrez-Gaitán.
Correo electrónico: moni18gutierrez@gmail.com


Editor Jefe: Fernando Suárez-Obando



Resumen

Antecedentes: la cefalea corresponde entre el 0.7 al 6 % de los motivos de consulta en el servicio de urgencias pediátricas. El reto del pediatra consiste en descartar o identificar aquellas cefaleas con etiologías secundarias. Reporte de caso: paciente de siete años que ingresó con cefalea holocraneana de quince días de evolución, quien en los últimos días presentó lateralización hemicraneana izquierda con aumento de la frecuencia e intensidad del dolor, que en ocasiones le despertaba durante el sueño. Al examen físico se identificó papiledema derecho, sin otras alteraciones. La resonancia magnética evidenció tumor embrionario del sistema nervioso central con patrón fusiforme de gran tamaño con efecto compresivo y desviación de la línea media, requiriendo manejo neuroquirúrgico, quimioterapia y radioterapia. Conclusiones: el enfoque de la cefalea es crítico. La anamnesis debe ser estructurada y, posteriormente, la entidad debe ser clasificada. El examen físico incluye signos vitales, examen por sistemas y valoración neurológica con énfasis en la fundoscopia. El enfoque diagnóstico de la cefalea se basa en la anamnesis estructurada, para descartar causas secundarias. El examen físico debe ser minucioso y enfocado en descartar síntomas neurológicos. En este caso fueron clave el despertar nocturno por el dolor y la identificación del papiledema.

Palabras clave: Cefalea, diagnóstico, urgencias médicas, neoplasias encefálicas, pediatría.


Abstract

Introduction: Headache corresponds to 0.7-6 % of pediatric emergency room consults. The pediatrician's challenge is to rule out or identify those headaches with secondary etiologies. Case report: a 7-year-old patient consults for a holocranial headache of 15 days, that was lateralized to the left in the last seven days with pain increase that occasionally awakens her during sleep. On the physical examination, right papilledema was found,without other findings. Magnetic Resonance Imaging evidenced a massive embryonic tumor of the central nervous system with a fusiform pattern with compressive effect and deviation of the midline. She required neurosurgical management, chemotherapy and radiotherapy. Conclusions: Headaches diagnostic approach is critical. The anamnesis must be structured, and the pediatrician should classify the headache according to its pattern. The physical examination should include the analysis of vital signs, general examination, and a neurologic evaluation with particular emphasis on the fundoscopy. The diagnostic approach of headaches is based on a structured anamnesis, ruling out secondary causes. The physical examination should be meticulous and find neurological signs if present. In this case, the key features were the night awakening secondary to pain and the papilledema.

Key words: Headache. Diagnosis, emergencies brain, brain neoplasms, pediatrics.




Introducción

La cefalea es uno de los cinco motivos de consulta más comunes de la infancia y su prevalencia tiende a aumentar conforme a la edad del paciente (1). Bille y cols. reportaron que la prevalencia de la cefalea es de 40 % a los 7 años y 75 % a los 15 años (2). Bigal y cols. reportaron que la prevalencia de la cefalea aumenta de entre 3 % a 8 % en los niños de tres años a una prevalencia entre 57 % al 82% en los adolescentes de quince años y que inicialmente es más prevalente en hombres, pero luego de la pubertad, esta relación se invierte con mayor prevalencia en las mujeres (3). Brna y cols. reportaron, en un seguimiento de veinte años, que el 73 % de los pacientes que presentaron cefalea durante la niñez, continuaron con esa patología en la adultez (4), por lo que es una entidad con la que el pediatra se enfrentará con cierta frecuencia.

Específicamente en el ámbito de urgencias hay reportes de que la cefalea es el motivo de consulta principal en el 0.7 % al 6 % de todas las visitas (5-8). Uno de los principales objetivos del pediatra es clasificar correctamente la cefalea (1). Según la 3.a edición de la Clasificación Internacional de las Cefaleas esta entidad se divide en: cefaleas primarias, aquellas que son una enfermedad es si mismas (migraña, cefalea tensional), y cefaleas secundarias, que son un síntoma de una etiología subyacente (9-11). Dentro de estas últimas, se incluyen patologías sin compromiso neurológico como la sinusitis, infecciones virales de la vía aérea superior, enfermedades febriles, origen dental o patologías con compromiso neurológico que causan aumento de la presión intracraneana como meningitis, hemorragia intracerebral, tumores cerebrales, entre otras, las cuales tienen un peor pronóstico (6).

En diferentes estudios realizados en el ámbito de urgencias, las cefaleas primarias fueron diagnosticadas entre el 10 % al 38 %, las cefaleas secundarias sin compromiso neurológico entre el 32.3 % al 59.9 % y las cefaleas con compromiso neurológico, entre el 1.5 % al 45.2 %. Es importante anotar que dentro de la categoría de cefaleas con compromiso neurológico se evidencia una gran variabilidad, ya que algunos estudios incluyeron cefalea postraumática en esta categoría y otros no (5-7).

Tomando en cuenta lo anterior, el pediatra debe realizar una anamnesis estructurada, un examen físico y neurológico enfocado en descartar causas secundarias, solicitar estudios de extensión en caso de estar indicados e informar adecuadamente a los padres (1, 10, 12). La anamnesis es de suma importancia, Dooley y cols. reportaron que de 150 pacientes con cefalea el 100 % obtuvo el diagnóstico y el manejo adecuado basados únicamente en la anamnesis (13). Además, hay que tener en cuenta que el porcentaje de pacientes que presenta cefalea secundaria que amenaza la vida es bajo, pero es de suma importancia el diagnóstico y tratamiento oportuno.

El objetivo de este artículo es presentar el caso clínico de una paciente diagnosticada con cefalea secundaria neurológica en el ámbito de urgencias. Adicionalmente, se discutirán los aspectos relacionados con esta patología y el enfoque diagnóstico desde el servicio de urgencias.


Caso clínico

Paciente femenina de siete años, con antecedente de asma y rinitis, quien consulta por un cuadro de 15 días de evolución de cefalea. Inicialmente la cefalea fue holocraneana de moderada intensidad, sin fotofobia, sin fosfenos, tinnitus u otros síntomas asociados, que cedió a la administración de acetaminofén. Sin embargo, a partir del día siete la cefalea se lateraliza, volviéndose hemicraneal izquierda con aumento de la frecuencia y la intensidad del dolor, adicionalmente la madre refiere que se despierta en las noches por el dolor.

Como síntomas asociados refiere fotofobia, hiporexia leve, vértigo, náuseas y 4 episodios eméticos. Había consultado previamente dos veces, con diagnóstico de migraña y manejo con analgésicos, antieméticos y líquidos endovenosos sin mejoría.

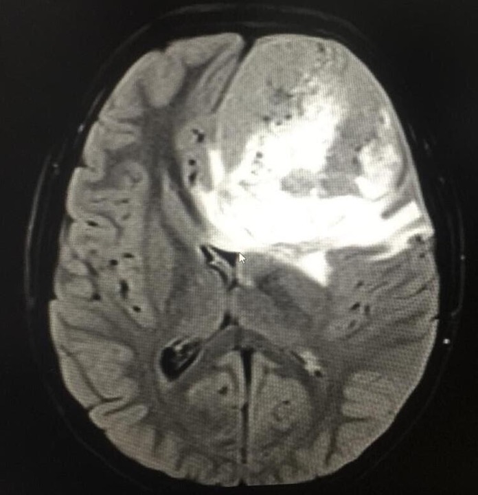
Al examen neurológico se evidencia que la paciente presenta dolor de 6/10 por escala análoga del dolor y papiledema derecho, sin focalización, resto del examen físico normal. Por lo anterior se consideró paciente con cefalea con banderas rojas por lo que se solicitó resonancia magnética cerebral simple. Se evidenció lesión expansiva intra-axial de aspecto heterogéneo en todas las secuencias con predominio de hipointensidad en T1 e hiperintensidad en T2 que se rodea de escaso edema perilesional con escaso componente hemorrágico hacia posterior con restricción de la difusión, con diámetros de 66.44mm anteroposterior x 52.11 mm de alto x 58 mm de ancho.

Adicionalmente, presentaba importante efecto compresivo que desvía a las estructuras de la línea media de izquierda a derecha por debajo de la hoz y deforma el sistema ventricular, con hernia del hipocampo izquierdo (Ver figura 1). Ante estos hallazgos el servicio de neurología solicitó una resonancia magnética contrastada e inició tratamiento con analgesia y corticoides para prevención de hipertensión endocraneana. Ante los hallazgos descritos, se realizó una junta con los servicios de neuroradiología, neurocirugía y hematooncología pediátrica quienes consideraron que se trataba de tumor glial (oligodendroglioma) en lóbulo frontal izquierdo que se asociaba a herniación cerebral subfalcina con desviación de línea media de 1.6mm, con edema cerebral vasogénico e importante efecto de masa que se acompañaba de síntomas de hipertensión endocraneana (cefalea, emesis y papiledema).

Por lo anterior, se decide llevar a manejo quirúrgico para descompresión, resección amplia y biopsia. Se realizó craneotomía con resección subtotal ampliada de tumor intra axial frontal izquierda. La resonancia magnética postquirúrgica muestra hallazgos de lobectomía y tumorectomía frontal izquierda, con resección tumoral de aproximadamente del 97 %, restauración de la línea media y del sistema ventricular, edema cerebral adyacente a área quirúrgica.

Durante la estadía en cuidados intensivos la paciente requirió manejo vasopresor y transfusión de una unidad de glóbulos rojos desleucocitados, sedación con ventilación mecánica por 2 días. Posteriormente, se remitió a un centro especializado para quimioterapia y radioterapia. En el último control con neurología, se evidenció biopsia con tumor embrionario del sistema nervioso central con patrón fusocelular (sarcomatoide), grado IV de la OMS y en el examen neurológico se evidenció nistagmo horizontal intermitente, sin otros hallazgos.


Figura 1. Resonancia magnética cerebral

A. Corte Axial B. Corte coronal. Lesión expansiva intra-axial de aspecto heterogéneo con predominio de hipointensidad en T1 e hiperintensidad en T2 que se rodea de escaso edema perilesional con escaso componente hemorrágico hacia posterior con restricción de la difusión. Diámetros de 66.44mm AP x 52.11 mm de alto x 58 mm de ancho. Importante efecto compresivo que desvía las estructuras de la línea media de izquierda a derecha por debajo de la hoz y deforma el sistema ventricular, con hernia del hipocampo izquierdo


Discusión

La cefalea puede ser una patología en sí misma o un síntoma de otra enfermedad (9). Esta entidad es un motivo de consulta común en el ámbito ambulatorio. Sin embargo, en el servicio de urgencias, aunque su frecuencia es menor, implica descartar o identificar causas de cefalea que amenacen la vida del menor (12, 14). Esta preocupación genera ansiedad a los padres y en ocasiones al pediatra (1). Sin embargo, la anamnesis estructurada juega un papel fundamental en la exclusión de causas secundarias y es una estrategia para manejar de forma efectiva la ansiedad de los acudientes (1, 8). Adicionalmente, el examen físico y neurológico son indispensables para descartar una cefalea secundaria o por el contrario solicitar estudios adicionales (1, 8, 12, 15, 16).

En urgencias, la anamnesis debe estar enfocada en descartar patologías que amenazan la vida. El pediatra debe tener en cuenta diagnósticos como infecciones del sistema nervioso central, cefalea traumática o postraumática, intoxicaciones, eventos vasculares agudos, hipertensión, cefaleas crónicas, migraña aguda y patologías que generan aumento de la presión intracraneana (8).

Idealmente el interrogatorio debe empezar entrevistando al paciente y los padres buscando comentar o complementar la información del menor (1). Se debe disponer el consultorio de tal forma que el niño quede cerca al doctor y los padres estén al lado del niño, esto permite que la atención de la consulta se centre en el paciente (12).

Gelfand y cols. proponen una frase introductoria para enfocar la anamnesis al infante: «Voy a hacerte algunas preguntas sobre tu dolor de cabeza. Te voy a hacer las preguntas a ti, porque es tu cabeza y tú eres el que mejor me puede contar del dolor. Sin embargo, si hay algo de lo que no estés seguro, tranquilamente le puedes pedir ayuda a tus padres/acompañantes. Estoy seguro de que ellos estarán muy contentos de ayudarte. Al final te daré la oportunidad de que me cuentes lo que creas que nos hizo falta y lo mismo para tus padres/acompañantes. » Esto permite dar tranquilidad al infante y a sus acudientes que podrán participar en la conversación en la medida de lo posible.

En pacientes menores de seis años, que en ocasiones se les dificulta dar detalles de los síntomas se les permite realizar un dibujo que ilustre las características de la cefalea (12). La anamnesis consta de una serie de preguntas que se muestran en la Tabla 1. Sin embargo, en caso de que el paciente ingresa críticamente enfermo, con alteración del estado de conciencia, cefalea severa o en condiciones generales precarias, se deben acortar la anamnesis y preguntar: «¿Esta es la primera vez que tiene cefalea o la peor de su vida?», «¿El dolor está asociado con sinusitis crónica y ahora tiene rigidez nucal y fiebre?», «¿Es un dolor de cabeza súbito y en este momento está asociado con rigidez nucal y alteración del estado de conciencia o es una exacerbación aguda de una cefalea que tiene hace años?». Además, se debe caracterizar la cefalea con el momento de inicio, localización, intensidad, duración y síntomas asociados. No olvidar preguntar también por ingestión de drogas ilícitas y medicamentos (8).

Hay que tener en cuenta las banderas rojas para la cefalea secundaria en niños y adolescentes (Tabla 2). El primer o peor dolor de cabeza que un paciente ha tenido en su vida puede indicar la presencia de una hemorragia subaracnoidea. La cefalea con maniobras de Valsalva o en supino sugieren aumento de la presión intracraneana y la posibilidad de una masa. Dolor de cabeza durante el ejercicio, durante la actividad sexual o la tos, pueden tener un origen primario, sin embargo, siempre se debe descartar una causa secundaria. Dolores de cabeza muy dolorosos agudos recurrentes, puede sugerir síndrome de vasoconstricción cerebral reversible. Cefalea de inicio reciente asociado a focalización neurológica (convulsiones, alteraciones del movimiento o de la esfera mental) o síntomas sistémicos son sugerentes de infección. Síntomas visuales no característicos del aura de la migraña, como alucinaciones de colores vivos, pueden sugerir síndromes epilépticos focales, ya que el aura migrañosa tiende a ser «negativa» (escotomas).

Dolor de cabeza que empeora al ponerse de pie, sugiere hipotensión intracraneal espontánea o cefalea post punción lumbar. Cefalea acompañada de alteraciones visuales (diplopía, amaurosis fugaz, disminución de la agudeza visual, alteraciones en el campo visual) sugiere hipertensión endocraneana. Dolor de cabeza en pacientes con antecedente de inmunodeficiencia, sugiere el estudio de entidades infecciosas de sistema nervioso central. Cefalea lateralizada con síntomas endocrinológicos sugiere alteraciones funcionales o estructurales por lesiones de la pituitaria. Este tipo de lesiones pueden generar cefaleas breves o cefalea autonómica trigeminal, sin embargo, están acompañadas de alteraciones del crecimiento, galactorrea y síntomas de hipo- hipertiroidismo (12).

Jacobs y cols. proponen una clasificación esquemática de las cefaleas que facilitan el diagnóstico: aguda sin antecedentes, aguda recurrente, crónica progresiva y crónica no progresiva. En cuanto a la primera, cefalea aguda sin antecedentes, se incluyen los síndromes virales, infecciones bacterianas y la hemorragia subaracnoidea. La segunda, cefalea aguda recurrente, abarca la migraña y la cefalea tipo tensión. La tercera, crónica progresiva, se refiere a las cefaleas que empeoran con el tiempo, dentro de las que se incluyen los tumores cerebrales y la hipertensión intracraneal benigna, por lo que se debe solicitar una neuroimagen para este grupo. Finalmente, la cefalea crónica no progresiva, incluye la cefalea diaria persistente. Esta clasificación permite una orientación para la solicitud de exámenes de extensión o el tratamiento adecuado (8, 17).

El examen físico debe estar enfocado en descartar causas secundarias de la cefalea. Los signos vitales, son indispensables para descartar causas infecciosas o entidades que amenazan la vida. Incluso se debe tomar la tensión arterial, ya que la hipertensión puede ser una causa de cefalea. Se debe palpar los pulsos femorales y compararlos con el pulso radial para descartar coartación aórtica. Se debe revisar el peso y talla para identificar desórdenes pituitarios o hipotalámicos y medir la circunferencia cefálica para identificar microcefalia o hidrocefalia. A nivel dermatológico se pueden encontrar varios signos sugestivos de patologías subyacentes con discrasias sanguíneas, neurofibromatosis o lupus eritematoso sistémico. Adicionalmente se debe palpar la presencia de organomegalias, que puede indicar una enfermedad de depósito o neoplasias. Se debe hacer una revisión de cada sistema, tomando en cuenta que la cefalea puede ser un síntoma inespecífico de cualquier enfermedad (1, 8).

En cuanto al examen neurológico es importante resaltar que aquello que no se busca activamente no es posible identificarlo (15). Durante la anamnesis se realiza de antemano un examen mental en busca de confusión o depresión. Al evaluar la marcha se puede evidenciar la presencia de hemiparesia, ataxia, inestabilidad proximal o distal. Posteriormente se debe proceder con la valoración de los pares craneales, en caso de que el paciente sea poco colaborador se debe posponer la valoración fundoscópica para el final del examen físico, pero es imprescindible identificar la presencia de papiledema, atrofia del nervio, hemorragia o disminución de la agudeza visual. Adicionalmente, se debe evaluar los campos visuales para descartar tumores en el nervio óptico y los movimientos oculares que de estar alterados puede sugerir parálisis del sexto par no localizada, e indicar aumento de la presión endocraneana. En caso de identificar alguna alteración en los pares craneales o disfunción cerebelar, puede indicar lesión del tronco encefálico o una lesión de fosa posterior. Se continua con el resto del examen neurológico, si se evidencian asimetrías a nivel motor, sensitivo o cerebelar, se debe sospechar patología secundaria. La gran mayoría de las veces el examen físico y neurológico es normal (1, 8, 15).

En caso de sospechar una patología secundaria, se deben escoger los laboratorios, punción lumbar y las neuroimágenes adecuadas. Los laboratorios hematológicos o el uroanálisis se deben solicitar justificados por los diagnósticos diferenciales que el clínico obtenga durante la anamnesis, sin embargo, la mayoría de las veces serán inespecíficos (8). En cuanto a la punción lumbar está indicada únicamente en pacientes con sospecha de un proceso infeccioso intracraneal o presión intracraneana aumentada que no se deba a una masa (8). Con respecto a las neuroimágenes, es importante resaltar que no está indicada de rutina en pacientes con cefalea recurrente y examen neurológico normal. Se deben reservar únicamente para el grupo de pacientes que el examen físico y anamnesis sugieran una patología intracraneana, es decir en pacientes con una cefalea crónica progresiva o cefalea aguda con alta sospecha de hemorragia subaracnoidea (1, 10). La tomografía axial computarizada sin contraste es el estudio ideal para identificar la mayoría de las patologías agudas o que requerirán un manejo neuroquirúrgico (1, 15). Sin embargo, hay que tomar en cuenta que este estudio genera una exposición sustancial a la radiación (1, 16). La resonancia magnética se prefiere para evaluar patologías congénitas, masas selares y anormalidades craneocervicales (1, 8), pero en ocasiones se debe hacer bajo sedación, por lo que está indicada cuando el tiempo no es una preocupación (16, 17). No se debe olvidar que se pueden identificar entidades benignas como enfermedades de los senos paranasales, malformación Chiari I, anormalidades no específicas de la sustancia blanca, angiomas venosos, quistes aracnoides, quistes pineales y mega cisterna magna (1).

En el caso presentado se evidencia una paciente con un patrón de cefalea secundaria. Los datos claves de la historia clínica para identificarla fueron el empeoramiento progresivo y el despertar en las noches por el dolor. Sin embargo, un hallazgo imprescindible fue la identificación del papiledema en el examen físico. Llama la atención que éste haya sido el único hallazgo al examen neurológico, considerando el tamaño de la masa tumoral. Por lo que reiteramos la importancia de la búsqueda activa y exhaustiva en el examen físico y neurológico.


Tabla 1. Anamnesis estructurada para la cefalea

Tabla 1. Anamnesis estructurada para la cefalea

  1. ¿Tienes un tipo de dolor de cabeza o dos tipos de dolor de cabeza?
  2. ¿Cuándo empezó el dolor de cabeza?
  3. ¿Cómo empezó el dolor de cabeza?
  4. ¿Qué patrón tiene el dolor de cabeza?
  5. ¿Con qué frecuencia empieza el dolor de cabeza?
  6. ¿Cuánto tiempo dura el dolor de cabeza, habitualmente?
  7. ¿Los dolores de cabeza empiezan en un momento o circunstancia específica?
  8. ¿Hay aura o pródromos?
  9. ¿Dónde está ubicado el dolor?
  10. ¿Cómo es el dolor?
  11. ¿Hay síntomas asociados?
  12. ¿Qué haces durante el dolor de cabeza?
  13. ¿Cómo sabría yo que tienes un dolor de cabeza si solo te viera?
  14. ¿Qué hace que el dolor de cabeza sea mejor o peor?
  15. ¿Cuáles síntomas tienes entre cada dolor de cabeza?
  16. ¿Tienes otros problemas de salud?
  17. ¿Estás tomando medicamentos?
  18. ¿Hay antecedentes familiares de dolor de cabeza?
  19. ¿Qué crees que está causando el dolor de cabeza?

Tomado de Gelfand AA et al. Modificado y traducido por los autores.


Tabla 2. Banderas rojas en pediatría

Tabla 2. Banderas rojas en pediatría

"Primer o peor" episodio de cefalea 

Cefalea con maniobras de valsalva o al estar de pie

Cefalea durante el ejercicio, tos o actividad sexual

Cefalea súbita severa recurrente

Cefalea de inicio reciente asociada a alteraciones neurológicas

Síntomas visuales no característicos del aura migrañosa

Cefalea que empeora al ponerse de pie

Cefalea acompañada de diplopía, amaurosis fugaz, disminución de la agudeza visual y déficit del campo visual

Cefalea lateralizada asociada a síntomas endocrinológicos

Signos de focalización en el examen neurológico

Paciente inmunocomprometido  

Tomado de Gelfand AA et al. Modificado y traducido por los autores.


Referencias

1. Brna PM, Dooley JM. Headaches in the Pediatric Population. Seminars in Pediatric Neurology. 2006;13(4):222-30. doi: https://doi.org/10.1016/j.spen.2006.09.003.

2. Bille BS. Migraine in school children. A study of the incidence and short-term prognosis, and a clinical, psychological and electroencephalographic comparison between children with migraine and matched controls. Acta Paediatr Suppl. 1962;136:1-151.

3. Bigal ME, Lipton RB. The epidemiology, burden, and comorbidities of migraine. Neurol Clin. 2009;27(2):321-34.

4. Brna P, Dooley J, Gordon K, Dewan T. The Prognosis of Childhood Headache: A 20-Year Follow-up. Archives of Pediatrics & Adolescent Medicine. 2005;159(12):1157-60. doi: https://doi.org/10.1001/archpedi.159.12.1157.

5. Conicella E, Raucci U, Vanacore N, Vigevano F, Reale A, Pirozzi N, et al. The Child With Headache in a Pediatric Emergency Department. Headache: The Journal of Head and Face Pain. 2008;48(7):1005-11. doi: https://doi.org/10.1111/j.1526-4610.2007.01052.x.

6. Hsiao H-J, Huang J-L, Hsia S-H, Lin J-J, Huang IA, Wu C-T. Headache in the Pediatric Emergency Service: A Medical Center Experience. Pediatrics & Neonatology. 2014;55(3):208-12. doi: https://doi.org/10.1016/j.pedneo.2013.09.008.

7. Kan L, Nagelberg J, Maytal J. Headaches in a Pediatric Emergency Department: Etiology, Imaging, and Treatment. Headache: The Journal of Head and Face Pain. 2000;40(1):25-9. doi: https://doi.org/10.1046/j.1526-4610.2000.00004.x.

8. Rothner AD. The evaluation of headaches in children and adolescents. Seminars in Pediatric Neurology. 1995;2(2):109-18. doi: https://doi.org/10.1016/S1071-9091(05)80021-X.

9. Hershey AD. Pediatric Headache. Continuum (Minneap Minn). 2015;21(4 Headache):1132-45. Epub 2015/08/08. doi: https://doi.org/10.1212/con.0000000000000197.

10. Caviness V, Ebinger F. Headache in pediatric practice. Handb Clin Neurol. 2013;112:827-38. Epub 2013/04/30. doi: https://doi.org/10.1016/b978-0-444-52910-7.00002-7PubMed PMID: 23622290.

11. Headache Classification Committee of the International Headache Society (IHS) The International Classification of Headache Disorders, 3rd edition. Cephalalgia. 2018;38(1):1-211. doi: https://doi.org/10.1177/0333102417738202.

12. Gelfand AA. Pediatric and Adolescent Headache. Continuum (Minneap Minn). 2018;24(4, Headache):1108-36. Epub 2018/08/04. doi: https://doi.org/10.1212/con.0000000000000638.

13. Dooley JM, Gordon KE, Wood EP, Camfield CS, Camfield PR. The utility of the physical examination and investigations in the pediatricneurology consultation. Pediatric Neurology. 2003;28(2):96-9. doi: https://doi.org/10.1016/S0887-8994(02)00494-0.

14. Rothner AD. Headaches in children and adolescents: update 2001. Semin Pediatr Neurol. 2001;8(1):2-6. doi: https://doi.org/10.1053/spen.2001.23325.

15. Piatt JH, Jr. Recognizing neurosurgical conditions in the pediatrician’s office. Pediatr Clin North Am. 2004;51(2):237-70. doi: https://doi.org/10.1016/s0031-3955(03)00213-x.

16. Babineau SE, Green MW. Headaches in children. Continuum (Minneap Minn). 2012;18(4):853-68. doi: https://doi.org/10.1212/01.CON.0000418647.77773.4e.

17. Jacobs H, Gladstein J. Pediatric Headache: A Clinical Review. Headache: The Journal of Head and Face Pain. 2012;52(2):333-9. doi: https://doi.org/10.1111/j.1526-4610.2011.02086.x.