Pediatría
ISSN impreso:0120-4912
e-ISSN:2444-9369
DOI:
10.14295/rp.v55i1.188

Reporte de caso


Secuestro pulmonar en un recién nacido que presenta insuficiencia respiratoria agudo. Reporte de caso.


Pulmonary sequestration in a newborn presenting acute respiratory insufficiency -case report.



Kenneth Escobar Péreza, Boanerges Rodasb.

a. Jefe de Neumología Pediátrica, Departamento de Pediatría, Hospital Regional de Occidente. Quetzaltenango, Guatemala.
b. Jefe del Departamento de Anatomía Patológica, Hospital Regional de Occidente. Quetzaltenango, Guatemala.

Recibido 05 de marzo de 2020 Aceptado 21de junio de 2022

Como Citar: Escobar Pérez K, Rodas B. Secuestro pulmonar en un recién nacido que presenta insuficiencia respiratoria agudo. Reporte de caso. Pediatr. 2022;55(1): 36-39.

Autor para correspondencia: Kenneth Escobar Pérez.
Correo electrónico: kvesco@gmail.com


Editor Jefe: Fernando Suárez-Obando



Resumen

Antecedentes: El secuestro pulmonar es una malformación congénita de la vía área. Aunque habitualmente se diagnostica durante la infancia, hay casos que pasan totalmente desapercibidos, y otros, como el presente reporte tienen una presentación aguda y poco frecuente. Reporte de caso: se describe el caso de un recién nacido con insuficiencia respiratoria aguda debido a una masa de gran volumen en el hemitórax izquierdo. Se realizó una tomografía computarizada torácica que revela la presencia de una masa que producía desplazamiento mediastinal contralateral y una atelectasia pulmonar ipsilateral. Posterior a la extirpación quirúrgica, la masa fue enviada a examen anatomopatológico, que fue concluyente con secuestro pulmonar. Conclusiones: La mayor parte de los secuestros pulmonares pueden pasar desapercibidos, pero los que se presentan de forma aguda y producen condiciones potencialmente mortales, como insuficiencia respiratoria, deben ser resecados tan pronto como las condiciones del paciente lo permitan.

Palabras clave: Secuestro broncopulmonar, recién Nacido, insuficiencia respiratoria.


Abstract

Background: Pulmonary sequestration is a congenital malformation of the airway. Although it is usually diagnosed during childhood, some cases go entirely unnoticed, and others, like the one in this report, have an acute and infrequent presentation. Case report: the case of a newborn with acute respiratory failure due to a large volume mass in the left hemithorax is described. A computed tomography scan of the chest revealed the presence of a mass causing contralateral mediastinal shift and ipsilateral pulmonary atelectasis. After surgical removal, the mass was sent for a pathological examination, which was conclusive with pulmonary sequestration. Conclusions: Most of pulmonary sequestrations can go unnoticed, but those that occur acutely and produce life-threatening conditions, such as respiratory failure, should be resected as soon as the patient's conditions allow it.

Key words: Pulmonary sequestration, neonates, respiratory insufficiency.




Introducción

El secuestro pulmonar es una malformación rara de las vías respiratorias. Aunque se diagnostica con mayor frecuencia durante la infancia, hay casos reportados diagnosticados en la edad adulta (1). Es principalmente una malformación sólida pero en algunos casos puede ser quística, no conectada al árbol bronquial, y nutrida por un vaso sistémico (2). El secuestro pulmonar se puede dividir en dos clases: intralobar cuando la malformación comparte la pleura con el pulmón normal, y extralobar cuando la malformación tiene su propia pleura (2). Los secuestros pulmonares se incluyen en el diagnóstico diferencial del recién nacido, acuñado término malformación congénita de las vía aérea (por sus siglas en inglés congenital pulmonary airway malformation CPAM), que también incluye lo que se conocía como malformación adenomatoidea quística (3). Gran parte de las CPAM puede ser diagnosticada prenatalmente, siempre y cuando la madre embarazada se someta a atención prenatal (4). Además esta patología puede ser seguida o incluso resuelta in utero (5). Otros casos pueden ser asintomáticos y sólo se encuentran incidentalmente, y su tratamiento suele ser observacional (1), pero cuando la lesión es potencialmente mortal, como cuando produce insuficiencia respiratoria o hemorragia, el manejo quirúrgico suele ser la única manera de corregir esta patología (5-7).


Reporte de caso

Se trata de una recién nacida a término quien a los cuarenta minutos de vida extrauterina presentó insuficiencia respiratoria aguda después de un parto eutócico. Su madre, una mujer sana de treinta años, de la zona rural cercana al centro de atención médico, arribó con contracciones. Este es su cuarto embarazo, sin atención prenatal.

Al examen físico la recién nacida presentó una frecuencia cardiaca de 180 latidos por minuto, frecuencia respiratoria de 80 respiraciones por minuto, temperatura rectal de 37 °C, SpO2 de 65% respirando aire ambiente, pesó de 3 280 gramos con una edad gestacional estimada de 38 semanas. Se colocó un tubo endotraqueal y se inició apoyo respiratorio. En la radiografía torácica se demostró la presencia de aire en el hemitórax izquierdo y corazón y mediastino desplazados al hemitórax contra lateral.

Se insertó tubo de drenaje torácico izquierdo liberando el neumotórax. Se realizó una radiografía torácica de control demostrando resolución del neumotórax, sin embargo, el desplazamiento contralateral del mediastino y corazón, persistían, además se observó una imagen radiopaca en la base del hemitórax izquierdo (Ver figura 1).

La paciente permaneció con baja saturación de oxígeno a pesar del soporte ventilatorio, se realizó un ecocardiograma que evidenció un corazón normal desplazado hacia la derecha, con hipertensión pulmonar leve, y lo que parecía ser una masa al lado del corazón. Sospechando de una hernia diafragmática congénita, se llevó a cabo una fluoroscopia que mostró que el estómago estaba en posición normal, mientras que el esófago y la vena cava inferior estaban desplazados hacia la derecha.

La tomografía axial computarizada (TAC) torácica evidenció una masa sólida de 10 cm x 8 cm x 8 cm en la base del hemitórax izquierdo (Figura 2), lo que resultó en el desplazamiento mediastinal. En el lóbulo superior izquierdo se observó una atelectasia por compresión.

El caso se presentó al área de cirugía pediátrica, en donde se decidió que la paciente fuera llevada al quirófano a la mañana siguiente para una toracotomía lateral posterior. En el procedimiento se resecó una masa sólida de bordes lisos que se asemeja a un pulmón no aireado.

La masa no tenía conexión al árbol bronquial, sin embargo, se identificó un vaso sanguíneo que la alimentaba desde su pedículo. Los lóbulos superior e inferior izquierdo se observaron de aspecto normal durante la cirugía.

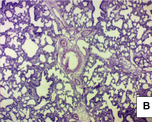
El estudio anatomopatológico de la lesión resecada reveló macroscópicamente una masa sólida con algunos bronquios dentro de ella (Ver figura 3A). El examen microscópico demostró alvéolos no aireados, algunos bronquios normales sin dilataciones y vasos sanguíneos normales, hallazgos que con el antecedente de la presencia de un vaso sistémico que nutría la masa, fueron concluyentes con un secuestro pulmonar (Ver figura 3B). La paciente fue dada de alta del hospital dos semanas después de la cirugía.


Figura 1. Radiografía de tórax


Se observa desplazamiento del corazón y estructuras mediastinales hacia el lado contralateral de donde se observa una imagen radiopaca en la base del hemitórax izquierdo.


Figura 2. Tomografía axial de tórax.

Se observa una masa solida que ocupa la región basal del hemitórax izquierdo, hay desplazamiento de las estructuras mediastinales hacia el lado contralateral.


Figura 3. Patología

En [A] anatomía macroscópica, masa sólida con algunos bronquiolos.


En [B] anatomía microscópica, alvéolos poco aireados, bronquiolos normales, vasos normales.


Discusión

El secuestro pulmonar se puede diagnosticar en cualquier etapa de la vida, pero el caso aquí descrito, es interesante debido a su presentación tan temprana y a la masa de gran volumen en el hemitórax izquierdo.

Como se mencionó, la paciente presentó una enorme masa, que ocupaba casi el cincuenta por ciento del hemitórax izquierdo, y esa fue la razón de la insuficiencia respiratoria aguda, así como de la hipoxemia que persistió a pesar del apoyo ventilatorio adecuado.

Al estar al frente de una situación crítica, como la descrita, el clínico debe considerar entre los diagnósticos diferenciales, tumores malignos, teratomas y otros tumores desarrollados a partir de la pared torácica. Siempre hay que tener en cuenta que, si la sospecha de un secuestro pulmonar está bien fundamentada, se debe realizar una angiotomografía computarizada o una angioRMN antes de la cirugía para identificar el vaso nutricio (3,9). El análisis anatomopatológico pueden revelar la presencia de tejido similar a una malformación adenomatoidea quística clasificación 2 de Stocker, hallazgos que se denominan complejos MAQ -secuestro (3) pero en este no se observaron hallazgos relacionados con la malformación adenomatosa quística congénita (Del inglés Congenital cystic adenomatoid malformation, CCAM).


Conclusiones

Los secuestros pulmonares son raros. La mayoría de ellos pasan desapercibidos durante toda la vida, mientras que otros son diagnosticados incidentalmente, pero las malformaciones que generan infecciones recurrentes, hemorragia, insuficiencia respiratoria y otras condiciones potencialmente mortales, deben ser resecadas quirúrgicamente tan pronto como sea posible, para preservar la vida del paciente y la función pulmonar.

Agradecimientos

Nos gustaría agradecer a los siguientes profesionales médicos por ayudarnos con la información relacionada al manejo de este caso: Doctores, Yuly Reyes, Andrea Rivas, y Joan Carles Ferreres.

Conflictos de interés

Los autores declaramos no tener conflictos de interés reales o percibidos con respecto a la publicación de este caso.


Referencias

1. Cooke CR. Bonchopulmonary Sequestration. Respir Care. 2006;51(6)661–4.

2. Akdag A, Arici S, Kaya M, Turgut A. Secuestro pulmonar extralobular como causa de hemorragia pulmonar recurrente en un recién nacido. 2016;114(1):21–4.

3. Chitty L, Harcourt J, Hewitt RJ, Nicholson AG. 18 – Enfermedad pulmonar congénita [Internet]. Novena edición. Trastornos de Kendig del Tracto Respiratorio en Niños. Elsevier Inc.; 2019. 289- 337.e8 p.

4. Stanton M, Njere I, Ade-Ajayi N, Patel S, Davenport M. Revisión sistemática y metanálisis del manejo postnatal de lesiones pulmonares quísticas congénitas. J Pediatr Surg 2009;44(5):1027– 33.

5. Khalek N, Johnson MP. Manejo de lesiones pulmonares diagnosticadas prenatalmente. Semin Pediatr Surg. 2013;22(1):24–9. 6.

6. Escobar MA, Acierno SP. Resección laparoscópica de un secuestro pulmonar intradiafragmático: Un informe del caso y la revisión de la literatura. J Pediatr Surg. 2018;47(11):2129–33.

7. Moyer J, Lee H, Vu L. Lobectomía toracoscópica para lesiones pulmonares congénitas. Clin Perinatol. 2017;44(4):781–94.

8. Mayoral-Campos V, Carro-Alonso B, Guirola-Ortiz JA, Benito- Arévalo JL. Secuestro pulmonar. Arco Bronconeumol. 2013;49(3):129–30.

9. Malformaciones congénitas de las vías respiratorias pulmonares: Revisión de última generación para uso del pediatra. Eur J Pediatr. 2017;176(12):1559–71.

10. Petty L, Joseph A, Sánchez J. Informe del caso: Secuestro pulmonar en un adulto. Informes de casos radioeléctricos. 2018;13(1):21–3.